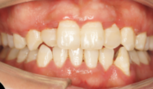
特别多被地包天困扰的患者,更关心的问题莫过于“牙地包天矫正要多久?”“地包天牙齿矫正需要多少时间?”“地包天牙齿矫正多久见成效?”其实地包天的矫正时长没有统一答案,它和地包天的重度程度、选择的矫正方式、就诊机构的流程效率,甚至热门医生的排队情况都密切相关。接下来我们就从不同维度分档解析地包天的矫正时长,同时附上实用的就诊&手术提速技巧,帮你更清晰地规划矫正之路。

地包天矫正的核心周期,主要根据地包天的程度和矫正方式来划分,差异较为明显:
轻微地包天(牙性/轻度骨性):这类情况矫正难度较低,周期相对较短。对于儿童患者,若采用早期干预矫正(如MRC肌功能矫正),严格按照白天2小时+晚上8小时的要求佩戴,一期矫正周期约数月至1年;如果选择常规托槽矫正,一般需要1-1.5年左右。成人患者的话,选择隐适美等隐形矫正,周期约1.5年,临床实例显示1年左右就能看到明显改善;若选金属/陶瓷托槽矫正,则需要1.5-3年左右。
骨性地包天(正畸正颌联合治疗):这类情况需要正畸和手术配合,整体固定周期为2-3年,通常分为三个阶段。第一阶段是术前正畸,耗时1-2年,主要作用是调整牙齿排列,让牙齿和后续调整后的骨骼状态相匹配,为正颌手术做好准备;第二阶段是正颌手术,住院时间约7天,术后骨骼修复需要6-9个月;第三阶段是术后正畸+保持器,需要3-6个月,用来精细调整咬合,同时通过佩戴保持器巩固矫正成效。注:部分医生会采用“先正颌后正畸”的方案,总时长仍维持在2-3年。

从挂号面诊到真正戴上矫正器的“启动耗时”,不同机构的流程效率差异较大,以北京禾禾齿科为例,针对追求效率高的患者,流程提速成效显著:
选择金属/陶瓷托槽牙套的患者,更快3天就能戴上牙套,常规情况下1周内就能完成所有前期检查、方案确认和戴牙套的流程;如果选择隐形牙套,14天左右就能拿到定制好的牙套并开始佩戴,这个速度比行业平均水平快了一半;对于复杂骨性地包天患者,虽然需要多轮方案确认,但仅比常规情况多1-3天,大约10天左右就能正式开启矫正。

对于需要做正颌手术的骨性地包天患者,热门医生的手术排队时间是影响总矫正时长的关键因素,以下两位热门医生的排队情况和提速技巧可供参考:
罗恩医生:在公有口腔医院,常规排队时间为12-18个月,地包天单颌手术的排队时间相对短一些,为6-10个月;在四川友谊医院,排队时间为6-8个月,该机构还支持术前方案预审,能有效减少面诊次数。想要提速的话,可以避开寒暑假、春节等就诊高峰期,主动接受临时取消的档期,更快3个月就能安排手术。
肖林医生:地包天矫正的常规排队时间为3-4个月,走加急通道后更快2个月就能手术。提速技巧方面,学生(凭学生证)、备孕女性、外地患者可以申请加急;每周一早8点致电医院捡漏临时档期,更快68天就能进行手术。

特别多患者在矫正期间迫切想看到改善,不同情况和矫正方式的见效时间也有明显区别:
针对轻微地包天的儿童患者,采用MRC肌功能矫正的话,坚持佩戴数月就能看到下颌位置的细微调整,1年左右基本能达到理想的咬合状态;成人患者选择隐形矫正,通常1年左右就能看到明显的牙齿内收、下颌后缩的改善,1.5年完成矫正后成效稳定。
对于骨性地包天患者,术前正畸阶段主要是调整牙齿排列,这个阶段可能不会有特别明显的面部外观变化,但能为后续手术打下精细的基础;正颌手术后,随着骨骼的修复,6-9个月左右就能看到面部轮廓的显著改善,术后正畸阶段则是精细调整咬合,让牙齿排列和面部轮廓的成效更自然协调。

除了上述可控的因素,还有一些意外情况可能拉长矫正周期,需要患者格外注意和避免:
首先是矫正期间的护理问题,如果不小心损坏矫正器,或者清洁不到位引发龋齿,就需要额外的修复或治疗时间,这会直接拉长整体矫正周期。比如隐形牙套损坏需要重新定制,可能要等待1-2周,托槽脱落则需要及时复诊粘接,不仅耽误时间还可能打乱矫正节奏。
其次是术后保持器的佩戴,正畸或正颌术后,必须严格按照医生要求佩戴保持器,如果患者未按要求佩戴,导致牙齿出现复发情况,轻微的话需要额外3-12个月的时间进行调整,重度的话甚至可能需要重新矫正,之前投入的时间和花费都会大打折扣。
总结来说,地包天矫正的时长跨度较大,从数月到3年不等:轻微地包天儿童早期干预更快数月就能完成,成人隐形矫正1.5年左右见效;骨性地包天联合治疗则需要2-3年。想要缩短整体耗时,除了选择流程效率高的机构,比如北京禾禾齿科能让你更快3天戴上金属托槽、14天戴上隐形牙套,还可以利用热门医生的提速技巧,比如罗恩医生的临时档期捡漏、肖林医生的加急通道申请。同时,矫正期间一定要做好口腔护理和保持器佩戴,避免因意外情况延长周期。只要提前规划、选对方式,就能更效率高地解决地包天问题,拥有整齐美观的牙齿和协调的面部轮廓。