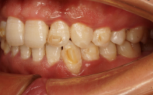
特别多人在纠结要不要洗牙时,都会冒出一连串萦绕心头的疑问:洗牙对牙齿有损伤吗?洗牙对牙齿有损坏吗?洗牙对牙齿有害吗?洗牙对牙齿有没有损害?洗牙对牙齿会不会有损害?洗牙对牙齿损害大吗?不少人听信网络上的谣言,认为洗牙会磨损牙釉质、导致牙缝变大、甚至让牙齿松动脱落,因此宁愿忍受牙齿发黑、牙龈红肿的问题,也不敢踏进口腔诊所。但实际上,大众对洗牙的误解大多源于对洗牙原理和临床操作的不了解,结合口腔医学的专精共识来看,规范洗牙对牙齿无实质性伤害,反而能有效维护口腔健康,仅不规范操作才可能带来损伤。接下来我们就围绕这些大众更关心的疑问,逐一拆解洗牙与牙齿健康的真实关系,帮大家理清认知误区,科学看待洗牙这项口腔保健项目。

要正确回答这个问题,首先要明确洗牙的核心原理:洗牙又称洁牙,主要通过超声波震动、手工刮治等方式,清除牙齿表面、牙龈沟内的牙结石、牙菌斑以及色素沉着。不少人担心洗牙会磨损牙釉质,但实际上牙釉质是人体更坚硬的组织,正规的洁治器械仅针对牙结石的粘附力设计,规范操作下不会对牙釉质造成损伤。
只有当操作粗暴、使用老化损坏的设备时,才可能在牙面留下极细微的划痕,但这种情况在正规口腔机构中几乎可以完全规避。除此之外,大众常提到的“洗牙让牙缝变大”“洗牙后牙齿敏感”其实都属于认知误区:牙缝本就存在,只是长期被牙结石和肿胀的牙龈填充遮挡,洗牙清除牙结石后,原本被掩盖的牙缝自然会显露出来,并非洗牙导致牙缝变大;而洗牙后短暂的牙齿敏感,是因为牙结石长期覆盖的牙颈部原本未暴露,洗牙后牙本质暂时暴露,属于正常的适应现象,一般1~2周可自行缓解,使用抗敏感牙膏还能加速修复。

不少人洗牙后会觉得牙齿松动、牙龈出血,误以为是洗牙造成的损伤,实则不然。牙结石如同“脏水泥”一样长期包绕牙龈和牙齿,不仅会刺激牙龈引发炎症,还会导致牙龈萎缩,甚至填充原本的牙缝。洗牙清除牙结石后,原本被遮挡的牙缝和牙齿的真实松动度会显现出来,洗牙只是暴露了已经存在的口腔问题,而非制造问题。
对于牙周病较为重度的人群来说,洗牙后可能会出现短暂的牙齿松动,这是因为牙结石长期起到了临时的支撑作用,牙结石被清除后,牙周组织的炎症尚未完全消退,牙齿暂时失去了支撑,但这种情况只是短期现象,随着牙龈炎症的消除、牙周组织的修复,牙齿的松动度会逐渐改善,长期来看反而更利于牙周健康的修复。至于洗牙后的牙龈出血,大多是因为洗牙前牙龈已经存在炎症,洗牙过程中刺激到了炎症的牙龈,一般会在数小时内自行停止,并非操作失误导致的损伤。

真正的洗牙损伤,几乎都源于非正规的操作和不规范的机构。如果医生操作不当,比如超声波洁牙的冲击力度过大、工作尖接触牙釉质的时间过长,或者使用了未经严格消毒的器械,就可能引发一系列问题:比如牙龈受损、牙根暴露、牙龈萎缩,轻度的牙龈萎缩在1~3个月内可部分修复,但难以回到初始状态,重度萎缩则不可逆;还可能引发牙龈出血不止、口腔交叉感染、牙齿酸软等不适。
除此之外,并非所有人都适合随时洗牙,以下几类人群需要针对性调整:孕期前3个月的孕妇、生理期女性建议暂缓洗牙,以避免不必要的身体应激反应;而佩戴心脏起搏器的患者、处于活动期的传染病患者、未得到有效控制的重度牙周炎患者则需要避免洗牙,防止引发重度的健康风险。这类人群在出现口腔不适时,需要提前告知医生自身情况,由医生评估后选择更安心的口腔护理方案。

网上曾流传“洗牙后悔了全口烂牙”的说法,不少人因此对洗牙望而却步,但实际上洗牙本身并不会导致牙齿腐烂。所谓的“洗牙后全口烂牙”,大多与洗牙操作本身无关,而是由以下几种原因导致:一是洗牙前已经存在的牙周病、龋齿被暴露出来,这些问题原本就存在,只是被牙结石和牙龈肿胀掩盖,洗牙后才被发现;二是洗牙后未做好日常口腔护理,牙菌斑、牙结石快速重新堆积,进而引发新的口腔问题;三是个体本身存在特殊情况,比如牙釉质发育不良、牙齿隐裂等,这类人群在洗牙后可能会出现不适,但并非洗牙导致的牙齿腐烂。
需要明确的是,长期不洗牙才会导致牙周组织出现不可逆的损害:牙结石长期刺激牙龈,会引发牙龈炎、牙周炎,进而导致牙龈萎缩、牙槽骨吸收,更终出现牙齿松动、脱落的重度后果。因此,定期洗牙是维护口腔健康的必要手段,而非造成牙齿损伤的元凶。

想要避免洗牙带来的潜在风险,同时享受到洗牙带来的口腔健康益处,关键在于选择正规的口腔医疗机构,并遵循科学的洗牙频率。根据口腔医学的推荐,健康人群的洗牙周期为每6~12个月一次;而已经患有牙周病的患者,则需要遵医嘱缩短洗牙间隔,一般为每3~6个月一次,以便及时清除牙结石,控制牙周炎症。
在正规的口腔机构中,医生会在洗牙前进行全方面的口腔检查,评估口腔健康状况,选择合适的洁牙方式,比如超声波洁牙、手工刮治等,确保操作过程安心有效。正规的超声波洁牙工作尖震动能量仅针对牙结石的粘附力,不会磨损牙釉质,对牙釉质的损伤可以忽略不计。同时,正规机构会严格执行消毒流程,避免交叉感染,让洗牙过程更加安心放心。
综上所述,洗牙对牙齿是否有损伤,核心取决于操作是否规范。规范洗牙不仅不会对牙齿造成损伤,反而能有效清除牙结石、牙菌斑,预防和治疗牙龈炎、牙周炎,维护口腔健康。而那些所谓的“洗牙损伤”,大多源于非正规机构的操作失误,或是大众对洗牙后的正常反应存在误解。大家不必过度担忧洗牙的安心性,只要选择正规的口腔医疗机构,遵循医生的建议定期洗牙,同时做好日常口腔护理,比如每天早晚正确刷牙、使用牙线清洁牙缝,就能轻松远离口腔疾病,拥有健康的牙齿和稳固的牙龈。洗牙并非牙齿的“伤害者”,而是守护口腔健康的重要帮手,希望大家能放下偏见,科学对待这项日常口腔保健项目。