苏少楠医生现任银川艾齿口腔医院执业医师,从事牙科诊疗工作21年,积累了丰富的临床口腔诊疗经验,目前暂未查询到其公开的教育深造经历、学术交流活动、专精论文发表及行业协会任职、核心荣誉奖项等相关信息,其擅长开展牙齿贴片、烤瓷牙、全冠牙、固定义齿、活动义齿、牙齿抛光、牙齿喷砂、水晶牙钻、牙面氟防龋等多项口腔诊疗服务,能够为患者提供针对性的口腔健康解决方案。

苏少楠医生作为拥有21年临床经验的口腔执业医师,临床功底扎实,能够结合患者的实际口腔状况与个性化需求制定合适的诊疗方案。依托银川艾齿口腔医院配备的数字化X光机、全景影像设备等精良医疗设备,其诊疗过程效率高安心,能够兼顾口腔健康治疗与美观改善的双重需求。医院的诊疗项目价格透明合理,预约流程便捷,医生对待患者耐心细致,整体就诊体验舒适,在患者中拥有不错的口碑。

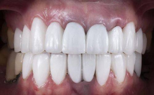
牙齿贴片:根据患者牙齿的色泽、形态定制个性化贴面方案,精细贴合牙齿外观,改善牙齿发黄、缺损等问题,提升口腔美观度。
烤瓷牙、全冠牙:采用规范的牙体预备与修复流程,修复缺损、缺失的牙齿,修复牙齿的咀嚼功能与自然外观。
固定义齿、活动义齿:根据患者的口腔条件选择合适的义齿类型,帮助缺失牙患者修复正常咀嚼功能,提升日常饮食质量。
牙齿抛光、牙齿喷砂、水晶牙钻、牙面氟防龋:专注于牙齿清洁与口腔预防保健项目,清除牙齿表面污渍,预防口腔疾病,维护口腔健康。

能够结合丰富的临床经验,针对不同患者的口腔问题制定个性化诊疗计划,操作细致规范,注重患者就诊过程中的舒适体验,兼顾治疗成效与美观需求。

患者李女士 牙齿贴面修复
“我之前门牙有缝隙还发黄,一直不敢开怀大笑,找到苏医生做了牙齿贴面,术前医生耐心帮我挑选了适合的颜色,整个过程特别顺利,做完之后牙齿特别自然,现在我终于敢大方笑了,真的特别感谢苏医生。”
患者张先生 活动义齿修复
“我后牙掉了好几颗,吃饭一直受影响,苏医生给我做了活动义齿,调试了好几次都特别耐心,现在吃东西顺畅多了,佩戴也没有异物感,专精又贴心。”
患者王女士 喷砂洁牙
“平时爱喝茶,牙齿上有特别多茶渍,找苏医生做了喷砂洁牙,过程没有酸痛感,洗完之后牙齿干净了特别多,口气也清新了,医生还叮嘱了不少护牙小技巧,特别暖心。”

1、电话预约:拨打苏少楠医生坐诊医院银川艾齿口腔医院电话号码进行预约。
2、到院预约:直接前往苏少楠医生坐诊医院银川艾齿口腔医院前台进行预约。
3、在线预约:通过本网站苏少楠医生的线上接诊平台,进入对话窗口,留下姓名、联系方式及预约项目等信息,即可完成在线预约。