
马金盼医生是溧阳帮明口腔门诊部的执业医师,所在医院配备精良的口腔诊疗设备,其所在医生团队具备扎实的学术基础与丰富的临床经验,诊疗过程注重卫生消毒,能为患者提供高品质的口腔诊疗服务,秉持以患者为中 心的服务理念,还会为患者提供日常口腔护理指导,就医环境温馨舒适。

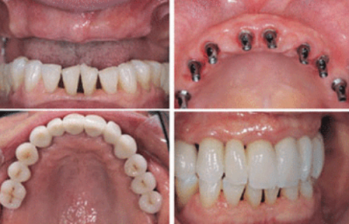
口腔种植:可开展韩国奥齿泰Osstem、以色列柯特斯CORTEX等种植体植入手术,适配不同牙槽骨条件,种植体稳固耐用。
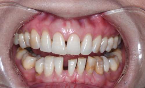
牙齿矫正:可完成陶瓷自锁托槽矫正、球面自锁托槽矫正obrace,兼顾美观性与矫正效率,精细调整牙齿排列与咬合关系。
口腔修复:涵盖钛合金烤瓷牙、二氧化锆烤瓷牙制作以及牙套修复,能够有效还原牙齿外观与正常咀嚼功能。
其他口腔项目:可开展喷砂洁牙、牙齿美白、牙周治疗、口腔颌面外科诊疗、拔牙等常规口腔服务,满足基础口腔护理与疾病治疗需求。

依托医院配备的CBCT机、全景机等精良设备,可提供精细的口腔检查与个性化治疗方案,操作规范细致,严格注重诊疗过程中的卫生消毒,有效降低交叉感染风险。
医生团队经过专精培训,能够熟练开展各类口腔诊疗项目,诊疗过程耐心细致,能够为患者提供贴合需求的口腔健康指导。

患者李女士 牙齿矫正
“我之前因为牙齿排列不齐一直特别自卑,不敢大方笑。找到马金盼医生做陶瓷自锁托槽矫正,他耐心帮我制定方案,过程中也特别照顾我的感受,现在矫正快一年了,牙齿整齐了特别多,整个人都自信了,真的特别感谢马医生。”
患者张先生 口腔种植
“我后牙缺失特别久了,吃饭都受影响,马医生给我做了韩国奥齿泰种植体植入,手术过程特别顺利,术后修复也特别快,现在吃东西都正常了,技术真的特别不错,值得信赖。”
患者王女士 喷砂洁牙
“平时刷牙总是刷不干净,牙结石特别多,来做了喷砂洁牙,马医生操作特别轻柔,没有不适感,洁牙后牙齿清爽了特别多,还教了我正确的刷牙方式,特别贴心专精。”

1、电话预约:拨打马金盼医生坐诊医院溧阳帮明口腔门诊部电话号码进行预约。
2、到院预约:直接到马金盼医生坐诊医院溧阳帮明口腔门诊部前台进行预约。
3、在线预约:通过本网站马金盼医生的在线问诊平台,进入对话窗口,留下姓名、联系方式及预约项目等信息,即可完成在线预约。