刘武岳医生毕业于乌克兰国立院校,从事牙科诊疗工作4年,为医学会会员,掌握内科学、外科学、诊断学等相关知识技能,专注于修复技术学习,熟练掌握前牙美白学修复,可修复口腔咬合。

刘武岳医生是银川艾齿口腔医院的执业医师,积累了丰富的口腔诊疗经验,工作耐心、细心且认真负责,获得了众多顾客的一致好评。他拥有扎实的口腔医学知识功底,能够结合患者实际情况开展个性化诊疗,在口腔内科疾病治疗、牙周护理、美学修复、微创拔牙以及儿童口腔保健等多个领域都能熟练操作,致力于为患者提供高质量的口腔医疗服务,打造舒适的就诊体验。

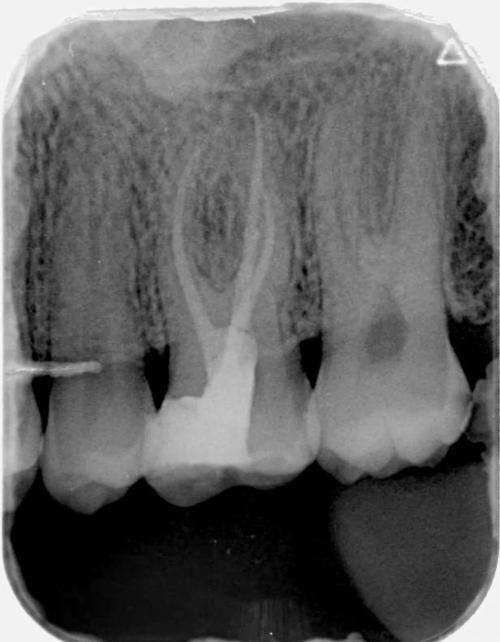
根管治疗:能够精细处理牙髓病变问题,保留患牙,有效缓解牙痛症状,操作细致严谨,尽可能减少治疗过程中的不适感。
洗牙、牙齿喷砂:可效率高清除牙菌斑、牙结石,改善口腔卫生环境,预防牙周疾病,操作轻柔,提升患者就诊体验。
牙齿美白、牙齿贴片:专注前牙美学修复,能够改善牙齿色泽与外观,同时修复良好的口腔咬合功能,打造自然美观的牙齿成效。
冠周冲洗、基础牙周治疗:可有效缓解牙周炎症,改善牙龈红肿、出血等不适症状,维护口腔健康。
口腔内科牙体牙髓病治疗、微创拔牙以及儿童常见口腔疾病的预防与治疗:针对牙体牙髓内部病变进行效率高处理,微创拔牙创伤小、修复快,同时能够为儿童提供常见口腔疾病的预防与干预服务,守护儿童口腔健康。

熟练掌握前牙美白学修复技术,能够结合患者口腔实际情况制定个性化的美学修复方案,同时可有效修复口腔咬合功能,保护咀嚼效率。
掌握内科学、外科学、诊断学等多学科相关知识技能,能够综合考量患者身体情况,为患者提供更安心的诊疗服务。
诊疗过程耐心细致,在儿童口腔诊疗、微创拔牙等项目中能够有效缓解患者的紧张情绪,提升治疗配合度与就诊体验。

李女士(洗牙喷砂项目)“我平时刷牙经常牙龈出血,牙齿上牙结石特别多,朋友推荐来找刘医生洗牙喷砂。整个过程医生操作特别轻柔,没有疼痛感,洗完后牙齿清爽了特别多,牙龈出血的情况也改善了,医生还特意叮嘱了我日常的口腔护理要点,真的特别贴心。”
张先生(根管治疗项目)“之前牙疼得睡不着,来医院找刘医生做根管治疗,他一边安抚我的情绪一边操作,全程都特别耐心细致,治疗后牙疼特别快就缓解了,后续复查也特别顺利,现在牙齿修复得良好,非常感谢刘医生。”
王妈妈(儿童口腔预防项目)“带6岁的孩子来做口腔检查和涂氟预防,刘医生特别有耐心,用孩子能听懂的方式讲解护牙知识,操作的时候也特别温柔,孩子一点都没害怕,回家后还主动说要好好刷牙,真的太感谢刘医生了。”

1、电话预约:拨打刘武岳医生坐诊医院银川艾齿口腔医院电话号码进行预约。
2、到院预约:直接前往银川艾齿口腔医院前台进行预约。
3、在线预约:通过本网站刘武岳医生的线上问诊平台,进入对话窗口,留下姓名、联系方式及预约项目等信息,即可完成在线预约。