张本娟医生是银川艾齿口腔医院的执业医师,从事牙科诊疗工作7年,积累了丰富的基础口腔诊疗经验,目前未查询到其相关学术交流、论文发表、行业荣誉及协会任职等信息。

张本娟医生深耕基础口腔诊疗领域多年,操作细致轻柔,注重与患者的沟通,能够根据患者的口腔实际情况提供个性化的诊疗建议。她擅长各类基础口腔清洁、牙周护理及口腔预防项目,在日常口腔保健方面经验多,能够帮助患者改善牙龈健康、提亮牙齿色泽,同时耐心解答患者的口腔护理疑问,就诊体验较好。

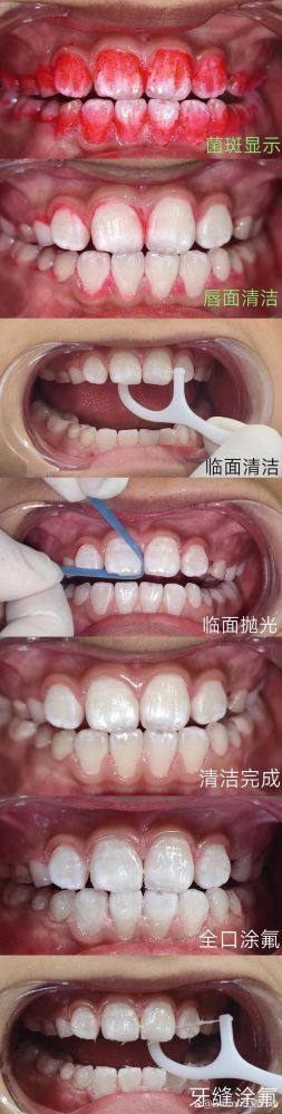
牙齿抛光:通过专精器械轻柔打磨牙面,去除外源性色素与细小牙菌斑,操作温和,能有效提亮牙面色泽,还原牙齿自然光泽。
牙齿喷砂:采用高压喷砂技术清洁牙面缝隙、牙龈沟内的顽固污渍与菌斑,清洁细致,不会损伤牙釉质,适合有烟渍、茶渍的人群。
牙周上药:针对牙周炎症问题,精细将药物送至牙周袋内,帮助消除局部炎症,缓解牙龈红肿出血症状,改善牙周健康状态。
水晶牙钻:在牙面粘贴精致的水晶钻饰,操作精细,可根据患者喜好设计粘贴位置,提升牙齿美观度,打造个性化笑容。
全景片:使用专精全景影像设备拍摄全口牙齿、牙槽骨及颌面部情况,为诊疗提供清晰精细的影像依据,辅助医生制定诊疗方案。
牙面氟防龋:在牙面涂布氟化物,增强牙釉质抗龋能力,预防龋齿发生,适合儿童及龋易感人群。

张本娟医生在基础口腔诊疗操作中注重细节,能够精细把控治疗力度与范围,确保诊疗过程安心舒适。她熟悉各类基础口腔护理项目的操作流程,能够效率高完成清洁、上药、影像拍摄等工作,同时会根据患者的感受及时调整操作细节,提升就诊体验。

李女士 牙齿喷砂项目
“我平时爱喝咖啡,牙上的黄渍一直特别难清理干净,朋友推荐找张医生做了牙齿喷砂,整个过程没有不舒服的感觉,医生操作特别轻柔,做完后牙齿明显变白了,牙缝里的陈年污渍也都清理掉了,张医生还特意叮嘱我之后喝完咖啡要及时漱口,真的特别贴心。”
王先生 牙周上药项目
“我最近牙龈总是红肿出血,吃东西都不敢用力,去医院检查说是牙周炎,张医生给我做了牙周上药,过程一点都不疼,上药后没过几天牙龈就不出血了,后续复诊的时候医生还帮我调整了日常刷牙的方式,现在牙齿舒服多了。”
赵小朋友 牙面氟防龋项目
“我家孩子特别爱吃糖,担心他长蛀牙,就带他找张医生做了牙面氟防龋,张医生先温柔地给孩子讲了护牙的小故事,让孩子不害怕,然后特别快就完成了涂氟,孩子全程都特别配合,之后医生还教我怎么帮孩子正确刷牙,真的特别专精。”

1、电话预约:拨打银川艾齿口腔医院法定电话进行预约。
2、到院预约:直接前往银川艾齿口腔医院前台,告知需要预约张本娟医生即可。
3、在线预约:通过本网站张本娟医生的在线问诊平台,进入对话窗口,留下姓名、联系方式及预约项目等信息,即可完成在线预约。