陶程煌医生是丽水名禾口腔的执业医师,所在医院是经当地监管部门批准成立的正规民营口腔门诊部,为丽水市医疗保险定点单位及医疗质量A级单位。医院配备精良的牙科诊疗设备,拥有经验多的医疗团队,团队成员多为牙科博士及硕士,具备十年以上从业经验,陶程煌医生可依托医院的优质资源与平台,为患者提供规范、安心的口腔诊疗服务。

种植牙:可开展瑞士ITI、德国Camlog、瑞典astra等多种主流种植体植入,掌握穿翼板种植牙技术,能够针对不同缺牙场景制定个性化修复方案,修复成效稳固自然。
牙齿矫正:可采用陶瓷自锁托槽矫正、金属牙套等多种矫治方式,可改善地包天等错颌畸形问题,兼顾咬合功能修复与面部美观优化。
口腔修复:擅长烤瓷牙、嵌体修复、活动义齿、牙齿贴片等项目,会根据患者的牙齿缺损、着色等情况定制适配的修复方案,修复牙齿的外观与正常功能。
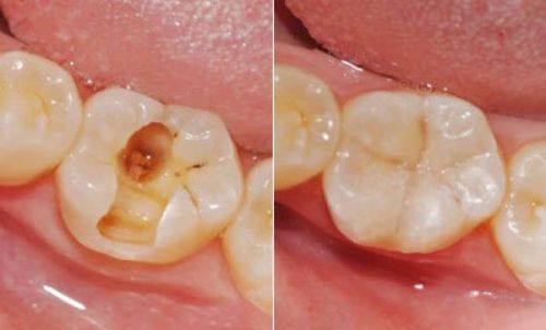
基础口腔护理与治疗:可开展洗牙、龈下刮治、补牙、牙齿美白等项目,帮助患者维护口腔健康,改善牙齿美观度。

依托丽水名禾口腔作为以色列CORTEX种植体公民临床实训基地、瑞典Nobel Biocare种植体示范基地的平台资源,能够接触并应用前列的口腔种植技术,同步行业精良诊疗理念。
医院配备CBCT机、iTero口内扫描仪等精良设备,可实现精细的口腔检查与诊疗操作,辅助医生制定更贴合患者需求的治疗方案,保护治疗的安心性与有效性。

1、电话预约:拨打陶程煌医生坐诊医院丽水名禾口腔的法定预约电话进行预约。
2、到院预约:直接前往陶程煌医生坐诊医院丽水名禾口腔前台进行预约。
3、在线预约:通过本网站陶程煌医生的线上接诊平台,进入对话窗口,留下姓名、联系方式及预约项目等信息,即可完成在线预约。