牛纪霞医生是银川艾齿口腔医院综合科副主医师,毕业于宁夏某大学,拥有27年口腔临床诊疗经验,曾在国内口腔医院进修数年。她长期深耕口腔临床诊疗工作,凭借精细娴熟的操作技术和耐心细致的服务态度,广受患者及老顾客的好评,积累了良好的行业口碑。

牛纪霞医生作为银川艾齿口腔医院的从业多年医师,从业多年积累了丰富的临床实战经验,诊疗技术娴熟精细,对待不同年龄段的患者都能保持耐心细致的沟通。无论是成人常见口腔疾病的诊疗,还是儿童口腔问题的处理,她都能结合患者实际情况制定个性化的诊疗方案,不仅治疗成效得到患者的广泛认可,还收获了不少老顾客的长期信赖,整体口碑出众。

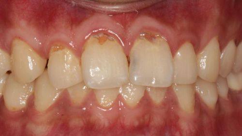
牙体牙髓病与牙周病诊疗:擅长各类龋病、牙髓炎、根尖周炎及牙周炎症的诊断与规范治疗,操作精细轻柔,较大程度减少患者诊疗过程中的不适感。
儿童口腔诊疗:涵盖儿童龋病防治、儿童牙外伤诊疗等项目,熟悉儿童口腔生理特点,诊疗过程温和耐心,能够有效缓解儿童看牙时的恐惧焦虑情绪。
口腔修复治疗:可开展补牙、牙齿美白、智齿拔除、松动牙保留、牙齿贴片、全冠修复、固定义齿、活动义齿及全口义齿修复等项目,能够根据患者的口腔状况定制合适的修复方案,有效修复口腔咀嚼功能与美观度。

诊疗操作精细娴熟,能够在口腔诊疗过程中精细操作,较大程度减少对口腔软组织的损伤,提升治疗舒适度与术后修复效率。
注重个性化诊疗方案的制定,会充分结合患者的口腔基础条件、年龄、需求等因素,定制贴合实际的治疗计划,确保治疗成效符合患者的预期。

张女士&根管治疗
“我之前因为急性牙髓炎疼得彻夜难眠,找到牛医生做根管治疗,她全程都在安抚我的情绪,操作特别细致轻柔,整个过程几乎没有明显痛感,术后修复也特别快,现在终于摆脱了牙疼的困扰,真的非常感谢牛医生。”
刘小朋友家长&儿童牙外伤
“我家孩子玩耍时不小心磕伤了门牙,紧急带过来找牛医生,她先耐心安抚了哭闹的孩子,随后快速完成了检查和复位处理,还详细教了我们后续的护理注意事项,现在孩子的牙齿修复得良好,完全没有留下后遗症,多亏了牛医生的专精处理。”
陈阿姨&全口义齿修复
“我全口牙齿缺失已经有一段时间了,吃东西特别费劲,生活质量下降了特别多,找牛医生做了全口义齿修复,她根据我的口腔情况反复调整义齿的贴合度,现在戴起来特别舒服,吃东西也顺畅多了,牛医生的技术和服务都让人非常满意。”

1、电话预约:拨打银川艾齿口腔医院的法定预约电话,告知需要预约牛纪霞医生的诊疗服务即可。
2、到院预约:直接前往银川艾齿口腔医院前台,向工作人员说明需预约牛纪霞医生的看诊,即可完成现场预约。
3、在线问诊预约:通过本网站牛纪霞医生的线上接诊平台,进入对话窗口后留下姓名、联系方式以及问诊或就诊需求等信息,即可完成在线问诊或预约就诊。