苏少楠医生现任银川艾齿口腔医院执业医师,从事牙科诊疗工作21年,积累了丰富的口腔诊疗经验,未查询到公开的学术交流、论文发表及行业荣誉、协会任职相关资料。

苏少楠医生深耕口腔诊疗领域多年,具备扎实的口腔专精基础与丰富的临床经验,擅长多项口腔修复与美容项目。诊疗过程中耐心细致,会结合患者的口腔实际情况制定个性化的诊疗方案,依托医院的精良设备为患者提供专精、安心的口腔服务,注重提升患者的就诊体验,获得了众多患者的认可与好评。

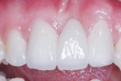
牙齿贴片:根据患者的牙齿色泽、形态定制个性化贴片,改善牙齿外观,修复轻微牙体缺损,打造自然逼真的牙齿成效。
烤瓷牙、全冠牙:结合患者的咀嚼需求与口腔条件选择适配的修复材料,修复牙齿的正常功能与美观外观,兼顾实用性与美学成效。
固定义齿、活动义齿:针对不同缺牙情况提供个性化修复方案,帮助患者修复咀嚼功能,提升口腔舒适度,适配不同患者的生活需求。
牙齿抛光、牙齿喷砂、水晶牙钻、牙面氟防龋:专注于口腔美容与预防保健项目,有效清洁牙面、改善牙齿色泽,预防龋齿问题,同时为患者普及日常口腔护理知识。

熟练掌握各类常规口腔修复与口腔美容项目的操作技巧,诊疗过程规范效率高,注重细节把控,能够根据患者的个体差异调整诊疗方案,确保诊疗成效符合患者预期。

患者李女士(牙齿贴片项目)
“我之前因为门牙有轻微缺损和色泽不均,一直不敢大方笑,找到苏医生做了牙齿贴片,整个过程特别耐心,反复跟我确认想要的成效,做完之后牙齿特别自然,现在我终于能自信展露笑容了,真的特别感谢苏医生。”
患者张先生(活动义齿项目)
“我掉了几颗后牙,吃饭一直特别费劲,苏医生给我做了活动义齿,前后调试了好几次都特别有耐心,现在吃东西舒服多了,几乎没有异物感,苏医生的技术和态度都让人特别放心。”
患者王女士(牙面氟防龋项目)
“平时不太注意口腔清洁,查出有早期龋齿风险,苏医生给我做了牙面氟防龋和牙齿喷砂,全程特别放松,还跟我讲了特别多日常护牙的小技巧,现在牙齿敏感的情况也改善了不少。”

1、电话预约:拨打苏少楠医生坐诊医院银川艾齿口腔医院电话号码进行预约。
2、到院预约:直接前往苏少楠医生坐诊医院银川艾齿口腔医院前台进行预约。
3、在线预约:通过本网站苏少楠医生的线上接诊平台,进入对话窗口,留下姓名、联系方式及预约项目等信息,即可完成在线问诊预约。