天津南开璐明口腔是一家经法定批准成立的私立口腔诊所,属于正规合规的口腔诊疗机构,资质完善、设施齐全。机构暂不开展种植牙项目,但诊疗覆盖牙齿矫正、拔智齿、根管治疗、牙齿美学修复、镶牙、儿童口腔护理等大部分常规口腔需求,凭借扎实的诊疗技术、精良的数字化设备以及周到的服务在当地积累了良好的口碑,能为不同年龄段的患者提供专精、贴心的口腔健康服务。

天津南开璐明口腔是正规的口腔诊疗机构,它是经南开区卫健委批准成立的合规牙科机构,拥有正规的医疗机构许可证(许可证号:PDY18595755825864G0605),资质完善、设施齐全。机构汇聚了一批临床经验多的医生团队,部分医生曾赴国外进修学习,诊疗技术成熟精良;同时配备精良的数字化诊疗设施,诊疗流程规范,服务周到热情,获众多患者认可,是法定认可的值得信赖的口腔诊疗机构。

天津南开璐明口腔诊疗实力出众,虽为诊所资质,但拥有一支技术扎实、临床经验多的医生团队,针对口腔各项目的疑难问题拥有大量诊疗实例,部分医生曾赴国外进修,诊疗技术成熟精良。机构配备数字化口扫设备、口腔全景机等精良设施,能有效提升诊疗精细度与效率;院内环境干净整洁、布局合理,就诊舒适感强;服务周到热情,从预约到诊疗的流程顺畅,在当地口碑颇高,儿童口腔护理、成人牙齿矫正、根管治疗等项目均收获患者一致好评。

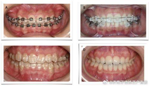
牙齿矫正:拥有经验多的正畸医生团队,借助数字化设备精细设计矫正方案,可有效改善龅牙、凸嘴等容貌困扰,诊疗流程顺畅,患者满意度高。
拔智齿:医生技术娴熟,拔牙过程痛感低,诊疗效率高,术后会提供专精的修复指导,帮助患者快速修复。
根管治疗:医生临床经验多,能精细处理牙髓病变问题,有效缓解牙齿疼痛,较大程度保留天然牙,获患者一致认可。
牙齿美学修复:可开展牙齿美白、牙套修复等项目,依托精良的数字化设备提升修复精度,兼顾牙齿的美观度与实用功能。
镶牙/活动义齿:能根据患者口腔实际情况定制合适的义齿,修复后可有效修复咀嚼功能,佩戴舒适度高。
补牙:采用优质补牙材料,医生操作细致规范,可有效填补牙体缺损,阻止龋齿进一步发展,维护牙齿健康。
牙齿牙龈外翻治疗:针对牙龈外翻问题拥有成熟诊疗方案,可改善牙龈形态,降低口腔炎症发病几率,维护口腔健康。
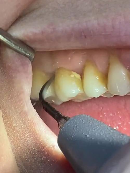
牙菌斑去除:采用专精口腔清洁技术,能完全清除牙齿表面及牙缝间的牙菌斑,预防牙周疾病,维护口腔卫生。
智齿龈瓣切除:医生操作精细,可有效解决智齿龈瓣覆盖引发的反复炎症问题,术后修复快,诊疗成效好。
儿童口腔护理:针对儿童口腔特点提供温和专精的护理服务,医护人员耐心细致,能帮助孩子消除看牙恐惧,养成良好的口腔卫生习惯。

天津南开璐明口腔 树脂补牙:200元起
天津南开璐明口腔 拔简单智齿:300元起
天津南开璐明口腔 拔复杂阻生智齿:800元起
天津南开璐明口腔 金属托槽牙齿矫正:8000元起
天津南开璐明口腔 隐形牙齿矫正:15000元起
天津南开璐明口腔 前牙根管治疗:500元起
天津南开璐明口腔 后牙根管治疗:1200元起
天津南开璐明口腔 牙齿冷光美白:1000元起
天津南开璐明口腔 活动义齿:1500元起
天津南开璐明口腔 烤瓷牙镶牙:800元起/颗
天津南开璐明口腔 牙龈外翻治疗:1800元起
天津南开璐明口腔 超声波洗牙(牙菌斑去除):150元起
天津南开璐明口腔 智齿龈瓣切除:600元起
天津南开璐明口腔 儿童全口涂氟:100元起
天津南开璐明口腔 儿童窝沟封闭:150元起/颗

李女士+牙齿矫正
“我天生有龅牙,凸嘴问题一直是我的容貌困扰,自卑了特别多年,后来经朋友推荐选择了天津南开璐明口腔做牙齿矫正。院内环境舒适、布局合理,医生仔细检查后给我设计了专属矫正方案,全程服务周到热情,矫正流程也特别顺畅。现在矫正结束,凸嘴问题完全改善了,终于摆脱了长期的心理负担,真的特别感谢这里的医护人员。”
张先生+拔智齿
“之前智齿反复发炎疼得厉害,一直害怕拔牙,后来听同事说天津南开璐明口腔拔牙技术好,就过来试试。医生技术真的特别出色,全程几乎没有疼痛感,而且效率特别高,前期拔牙加上取模做牙套只用了2小时,后续只需要复诊2次。医护人员服务热情,还贴心告诉我术后注意事项,这次诊疗体验我特别满意。”
王女士+根管治疗
“我之前牙齿突然疼得睡不着觉,紧急来天津南开璐明口腔就诊,医生诊断后说需要做根管治疗。医生临床经验特别丰富,操作细致专精,特别快就缓解了我的疼痛。整个诊疗过程中,医护人员都特别耐心,术后还给了我特别多口腔护理的建议。治疗后牙齿再也没疼过,真的是值得信赖的口腔健康守护者。”
刘妈妈+儿童口腔护理
“我家孩子一直抗拒看牙,牙齿上有小黑点,我特别着急,后来带他来天津南开璐明口腔做儿童口腔护理。这里的医护人员对孩子特别有耐心,操作也特别温和,还边做护理边给孩子讲口腔知识,孩子全程都没哭闹。做完后还教了孩子正确的刷牙方法,孩子现在每天都主动刷牙,我对这里的儿童口腔服务特别认可。”

天津南开璐明口腔电话:400-839-2968
天津南开璐明口腔营业时间:周一至周日 8:00-18:00

1.电话预约:拨打天津南开璐明口腔电话进行预约
2.到院预约:直接前往天津南开璐明口腔,到医院前台进行预约。
3.在线预约:通过本页面天津南开璐明口腔的线上接诊平台,留下姓名、联系方式和意向等信息,方便客服进行备注,进行线上预约。