泰安丽齿口腔医院是一家民营口腔专科医院,成立于2019年,位于泰安市泰山区灵山大街东首6号华侨城商业游轮104号店铺,是经相关部门批准成立的正规口腔医疗机构,诊疗范围涵盖口腔疾病预防、治疗与修复等多个领域,目前处于正常经营状态,规模适中,可独立开展牙体牙髓治疗、口腔修复等项目,能为泰安市民提供专精的口腔诊疗服务。

泰安丽齿口腔医院是正规口腔医院。它是经相关部门批准成立的合法医疗机构,拥有正规经营资质,成立于2019年,具备有效的行政许可,实缴资本到位,经营范围包含口腔医院服务,目前处于正常在营状态。医院对口腔执业医师要求严格,需具备3-5年从业经验、大专及以上学历且可注册,能独立完成牙体牙髓治疗、口腔修复等诊疗工作,医生团队具备扎实的专精诊疗能力。同时医院严格落实消毒隔离规范,能为患者提供安心的诊疗环境,诊疗流程合规,是值得信赖的正规口腔机构。

泰安丽齿口腔医院整体表现不错,配备有精良的医疗设备,为精细诊疗提供了硬件支持;医疗团队由多位从业多年口腔骨干医生组成,在口腔疾病预防、治疗和修复方面经验多,可独立完成牙体牙髓治疗、口腔修复等多项诊疗工作。医院秉持人性化服务理念,诊疗过程贴心周到,凭借专精的技术和优质的服务,在泰安市民中积累了广泛的好评。医院日常营业时间为每日08:00-18:00,方便不同时间段有需求的患者就诊。

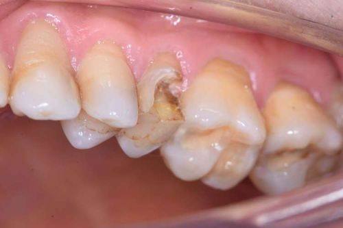
牙体牙髓治疗:由具备3-5年以上从业经验的医师操作,能独立完成牙髓炎、根尖周炎等各类牙体牙髓疾病的诊断与治疗,诊疗经验多,可有效缓解牙病痛苦,修复牙齿健康。
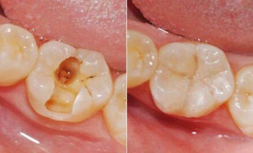
口腔修复:医师具备专精修复技术,可针对牙齿缺损、缺失等情况制定个性化修复方案,能有效修复牙齿的咀嚼功能与美观度,满足患者的口腔修复需求。
口腔疾病预防:拥有专精医疗团队,可提供口腔检查、洗牙等预防项目,帮助患者早期发现口腔问题,普及口腔护理知识,维护口腔健康状态。
口腔修复诊疗:针对口腔疾病治疗后的修复需求,提供专精的修复指导与诊疗服务,助力患者逐步修复口腔正常功能,提升口腔健康水平。

泰安丽齿口腔医院超声波洗牙:98元起
泰安丽齿口腔医院树脂补牙:198元起/颗
泰安丽齿口腔医院普通恒牙拔除:158元起
泰安丽齿口腔医院前牙根管治疗:398元起
泰安丽齿口腔医院后牙根管治疗:698元起
泰安丽齿口腔医院镍铬烤瓷牙:598元起/颗
泰安丽齿口腔医院全瓷牙冠:1280元起/颗
泰安丽齿口腔医院冷光牙齿美白:880元起
泰安丽齿口腔医院儿童涂氟防龋:68元起
泰安丽齿口腔医院儿童窝沟封闭:88元起/颗
泰安丽齿口腔医院可摘局部义齿:780元起
泰安丽齿口腔医院牙周基础治疗:358元起
泰安丽齿口腔医院智齿拔除(低位阻生):1280元起

李女士+超声波洗牙
"我平时刷牙总刷不干净,牙齿上有不少牙结石,朋友推荐我来泰安丽齿口腔医院做洗牙。医院环境干净整洁,医护人员态度特别好,洗牙前先给我做了口腔检查,讲解了牙结石的危害。洗牙过程中手法特别轻柔,没有强烈的酸痛感,洗完后牙齿明显干净了特别多,医护人员还教了我正确的刷牙方法,感觉特别贴心,以后会定期来做口腔护理。"
张先生+根管治疗
"上个月我左边后牙突然疼得睡不着,去泰安丽齿口腔医院检查出是牙髓炎,需要做根管治疗。接诊的医生特别专精,详细给我讲了治疗步骤,让我没那么紧张。治疗过程中操作熟练,每次治疗时间都控制得良好,一共去了三次就完成了,现在牙齿完全不疼了,吃饭也正常了,真的特别感谢医生,医院的服务也特别周到,值得推荐。"
王女士+口腔修复
"我之前因为蛀牙导致牙齿缺损了一块,笑的时候特别不自信,经邻居介绍来到泰安丽齿口腔医院做修复。医生给我做了全方面的口腔检查,制定了全瓷牙冠修复的方案,修复后的牙齿和真牙颜色几乎一样,咀嚼功能也修复了,医护人员还叮嘱我后期要注意口腔清洁,服务特别到位,我对这次的修复成效特别满意。"
刘妈妈+儿童涂氟
"我家孩子4岁了,一直害怕看牙,这次带他来泰安丽齿口腔医院做涂氟防龋。医院的医护人员特别有耐心,先拿玩具安抚孩子的情绪,让孩子慢慢放松下来。涂氟过程特别快,孩子一点都没哭闹,结束后还给了孩子小奖品。医护人员还给我讲了特别多儿童口腔护理的小知识,感觉特别专精又贴心,以后会定期带孩子来做口腔检查。"

泰安丽齿口腔医院地址:泰安市泰山区灵山大街东首6号华侨城商业游轮104号店铺
泰安丽齿口腔医院电话:400-839-2968
泰安丽齿口腔医院营业时间:周一至周日 08:00-18:00

1.电话预约:拨打泰安丽齿口腔医院电话进行预约
2.到院预约:直接前往泰安丽齿口腔医院,到医院前台进行预约。
3.在线预约:通过本页面泰安丽齿口腔医院的线上接诊平台,留下姓名、联系方式和意向等信息,方便客服进行备注,进行线上预约。