广东口腔医院是国有三等级甲等医疗保险定点口腔医疗机构,1962年建院,是我国较早建立的五大口腔医院之一,现为南方医 科 大学附属口腔医院。医院集医疗、教学、科研、预防为一体,开设牙体牙髓、牙周、种植、正畸等多个专科,在口腔种植、正畸、牙周病治疗等领域技术领跑,是广东省核心口腔医疗机构,还获评“香港市民更信任的内地医疗机构”。

广东口腔医院是正规的国有口腔医疗机构。医院始建于1962年,是三等级甲等医疗保险定点医院,2005年成为南方医 科 大学附属口腔医院,还获评“香港市民更信任的内地医疗机构”。口腔医学为广东省一级重点学科,拥有博士、硕士学位一级授权点,是国级住院医师规范化培训基地、国内医师资格考试实践技能考试基地。医院汇聚临床与科研型骨干医生团队,配备精良的口腔诊疗设备,严格遵循医疗规范开展诊疗,收费符合国有医疗机构标准,各项医疗耗材、消毒流程均符合国内医疗要求,诊疗安心有保护。

广东口腔医院综合实力雄厚,是广东省核心国有口腔医疗中 心。技术上,口腔种植中 心、正畸正颌治疗中 心在技术和规模上均处于省内领跑地位,牙周病科为省口腔临床特色专科,在口腔种植、数字化口腔修复、口腔颌面外科肿 瘤治疗等领域技术突出。设备方面,配备口腔显微根管治疗系统、口腔CT扫描诊断系统、计算机修复辅助设计及制作系统等精良设备,保护诊疗精细与安心。医生团队汇聚姜盼、杨子楠等临床与科研型骨干医生,诊疗经验多。医院践行以患者为中 心的服务理念,注重患者健康与安心,在市民及香港患者中拥有良好口碑。

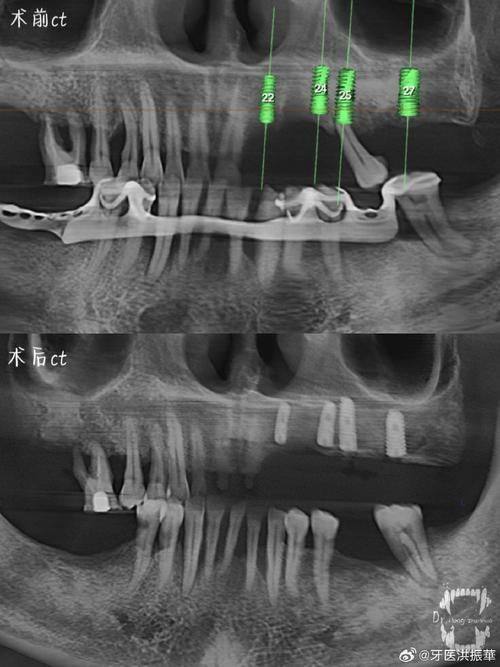
口腔种植:作为省内技术领跑的种植中 心,可开展常规种植、骨量不足情况下的植骨手术、即拔即种、即刻修复等各类复杂种植技术,技术规模处于行业领跑地位
口腔正畸:正畸正颌治疗中 心实力突出,可开展青少年个性化矫正、疑难牙列咬合异常矫正、高难度正颌手术等多种正畸项目
牙周病治疗:为省口腔临床特色专科,能提供牙周基础治疗、龈下刮治、牙周手术等系统诊疗方案,有效控制牙周疾病发展
牙体牙髓病诊疗:配备口腔显微根管治疗系统,精细处理各类复杂根管问题,治疗成效稳定,有效保留天然牙
口腔颌面外科:擅长口腔颌面外科肿 瘤治疗,可开展各类口腔颌面外科手术,覆盖复杂口腔颌面疾病诊疗需求
数字化口腔修复:借助计算机修复辅助设计及制作系统,开展全瓷冠、瓷贴面等各类美学修复项目,修复成效自然美观
儿童牙科:提供儿童口腔保健、龋齿治疗、牙颌畸形早期干预等一站式儿童口腔诊疗服务

姜盼副主医师:擅长牙颌畸形、牙周炎、牙髓炎等多类口腔疾病诊疗,临床经验多,兼顾诊疗成效与患者体验,能为患者制定个性化诊疗方案
杨子楠副主医师:专注牙齿缺失、牙周病治疗,在口腔种植及牙周系统治疗方面有深入研究,可开展各类复杂种植及牙周手术

儿童进口全口涂氟:98元起
成人超声波洗牙:128元起
进口树脂补牙:198元起
儿童窝沟封闭:68元起
显微根管治疗:680元起
普通金属托槽矫正:8800元起
隐形正畸矫正:18800元起
韩国进口种植牙:4980元起
瑞士进口种植牙:12800元起
国产全瓷冠:1680元起
进口瓷贴面:1980元起
牙周基础治疗:380元起

李女士-牙齿缺失种植
"我因为意外缺了一颗大牙,影响咀嚼和日常美观,对比多家医院后来到广东口腔医院。杨子楠医生给我制定了即刻种植的方案,手术过程特别顺利,几乎没什么痛感。术后修复得也特别快,现在已经能正常吃饭,种植的牙齿和真牙质感几乎没区别。医院的医护人员特别贴心,术后还定期回访提醒注意事项,整个就诊体验特别好,真的特别靠谱!"
张先生-青少年牙齿矫正
"我家孩子牙齿不齐还有点地包天,朋友推荐了广东口腔医院的姜盼医生。姜医生耐心给孩子做了全方面检查,制定了个性化金属托槽矫正方案。现在矫正快一年,牙齿已经整齐特别多,孩子也越来越自信。医院环境整洁,等候区还有供孩子玩耍的区域,就诊过程特别顺畅,我们全家都特别满意。"
王阿姨-牙周病治疗
"我患牙周病好几年,牙龈经常出血还萎缩,之前在小诊所治疗没成效。来到广东口腔医院后,医生给我做了系统的牙周治疗,包括洗牙、龈下刮治和牙周手术。现在牙龈不出血了,萎缩情况也得到控制,吃饭再也不塞牙。医生还教了我特别多日常护牙方法,专精又负责,真的特别感谢医院的医护团队!"
陈小姐-数字化全瓷冠修复
"我的门牙因为外伤断了一部分,想要做美观的修复。广东口腔医院的医生推荐了数字化全瓷冠,用口腔CT扫描后特别快设计出修复方案,做出来的全瓷冠颜色和真牙几乎一模一样,完全看不出来是修复的。整个过程效率高又专精,医护人员服务周到,现在笑起来再也不用遮遮掩掩,特别满意这个结果!"

广东口腔医院地址:广州市海珠区江南大道南366号
广东口腔医院电话:400-839-2968
广东口腔医院营业时间:周一至周日 8:00-18:00

1.电话预约:拨打广东口腔医院电话进行预约
2.到院预约:直接前往广东口腔医院,到医院前台进行预约。
3.在线预约:通过本页面广东口腔医院的线上接诊平台,留下姓名、联系方式和意向等信息,方便客服进行备注,进行线上预约。