杭州瑞创口腔(临平桂花城分院)是成立于2015年的民营口腔门诊部,属于瑞创口腔连锁品牌在杭州的10家门店之一,位于临平区人民大道731号,交通便捷。门店占地约380平方米,设4个独立诊疗室,营业时间覆盖周一至周日08:00-20:00,方便不同时段就诊需求。作为当地颇具规模的牙科机构,它集口腔种植、正畸、修复、美容、治疗及儿童口腔等综合诊疗服务于一体,凭借规范诊疗与优质服务赢得周边居民认可。

杭州瑞创口腔(临平桂花城分院)是正规的口腔医疗机构。它拥有合法的医疗资质和经营许可证,诊疗流程规范靠谱,是杭州五杭地区市民认可的正规牙科机构之一。医护团队均具备正规医学教育背景及相关资质证书,像杜玉良、王丰源等医师都拥有多年从业经历,技术实力受患者广泛认可。医院配备高温高压消毒等专精消毒设备,遵循严格的标准消毒流程,能有效杜绝交叉感染风险。同时,机构收费透明,无隐形消费,所有项目价格公开公示,凭借价格透明、服务贴心的特点,深受当地患者信赖。

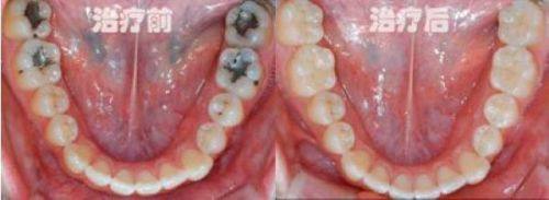
杭州瑞创口腔(临平桂花城分院)是当地口碑良好的专精牙科机构,整体诊疗实力不俗。技术上,以微创种植牙、牙周疾病治疗和牙齿修复为核心特色,牙周病治疗依托精良设备和经验多的医师团队,临床成效获周边居民认可;正畸采用前列矫治技术,能快速利落解决牙齿畸形问题,有效减少术后创伤。医生团队经验多,多位医师拥有多年从业经历,就诊操作轻柔,会与患者充分沟通病情并给出个性化诊疗建议。设备方面,配备CBCT机、全景机、超声骨刀、热牙胶充填设备等精良诊疗仪器,为高质量诊疗提供保护。环境上,门店宽敞约380平,独立诊疗室保护就诊隐私,整体环境整洁舒适。服务上,提供免费WiFi、免费小吃、术后修复回访等贴心补贴,延长营业时间至20:00,方便上班族就诊。口碑方面,当地患者对其技术水平、服务质量、价格透明度都评价较高,不少牙友反馈做烤瓷牙、牙周治疗等项目体验良好。

微创种植牙:依托精良的超声骨刀等设备,由经验多的医师操作,手术创伤小、修复快,能有效修复缺牙部位的咀嚼功能与美观度,术后牙齿稳定性强。
牙周疾病治疗:作为核心特色项目,凭借超声洁治器、激光设备等精良仪器,结合医师扎实的临床技术,可有效解决牙龈出血、肿痛、牙周炎症等问题,治疗过程轻柔,患者不适感低。
牙齿修复:涵盖烤瓷牙、树脂补牙等多种修复项目,医师会根据患者牙齿缺损情况定制个性化方案,修复后牙齿外观自然逼真,能修复正常咀嚼功能。
牙齿正畸:采用前列矫治技术,可针对各类牙齿畸形问题制定矫正方案,治疗过程能有效减少术后创伤,兼顾美观性与功能性,满足不同患者的矫正需求。
牙齿美白:借助专精美白仪器与技术,能有效改善牙齿发黄、发黑等色素沉着问题,治疗过程安心舒适,术后牙齿亮白成效自然持久。
根管治疗:配备牙髓测量仪、热牙胶充填设备等专精仪器,医师操作规范精细,能有效处理牙髓炎症、牙齿疼痛等问题,较大程度保留患牙。
儿童口腔诊疗:针对儿童口腔特点提供专属服务,包括全口涂氟、窝沟封闭、龋齿治疗等,医护人员耐心亲切,能有效缓解儿童看牙的恐惧心理,保护诊疗顺利进行。

杜玉良医师:拥有多年口腔诊疗从业经历,临床技术扎实,擅长牙周疾病治疗、牙齿修复等项目,就诊操作轻柔,与患者沟通细致,深受周边居民认可。
王丰源医师:口腔诊疗经验多,在微创种植牙、牙齿正畸等领域有深入研究,能根据患者口腔情况定制个性化诊疗方案,操作精细,术后成效获患者好评。
邢磊医师:专注于牙齿修复、根管治疗等项目,技术实力突出,对各类牙齿缺损、牙髓炎症问题的处理经验多,诊疗过程规范严谨。
卢来臣医师:擅长儿童口腔诊疗、牙周基础治疗等,对待儿童患者耐心亲切,能有效引导儿童配合诊疗,深受家长信赖。

杭州瑞创口腔(临平桂花城分院)超声波洗牙:98元起
杭州瑞创口腔(临平桂花城分院)儿童全口涂氟:128元起
杭州瑞创口腔(临平桂花城分院)窝沟封闭(单颗):88元起
杭州瑞创口腔(临平桂花城分院)树脂补牙(美国3M):268元起
杭州瑞创口腔(临平桂花城分院)根管治疗(前牙):580元起
杭州瑞创口腔(临平桂花城分院)烤瓷牙修复(钴铬合金):1280元起
杭州瑞创口腔(临平桂花城分院)冷光牙齿美白:1580元起
杭州瑞创口腔(临平桂花城分院)金属托槽牙齿矫正:6800元起
杭州瑞创口腔(临平桂花城分院)国产隐形牙齿矫正:16800元起
杭州瑞创口腔(临平桂花城分院)韩国登腾微创种植牙:4980元起
杭州瑞创口腔(临平桂花城分院)牙周基础治疗(龈上洁治+龈下刮治):1280元起
杭州瑞创口腔(临平桂花城分院)超声骨刀微创拔智齿:880元起

李阿姨:牙周病治疗
"我被牙周炎困扰好几年,牙龈经常出血肿痛,试过不少方法都没有效治疗。朋友推荐来瑞创口腔临平桂花城分院,找杜玉良医生看诊。医生仔细检查后给我制定了龈上洁治加龈下刮治的方案,治疗过程中操作特别轻柔,几乎没痛感,还不断跟我讲解日常口腔护理注意事项。做完治疗后,牙龈出血的情况特别快就缓解了,肿痛也慢慢消失。现在定期来复查,医生都会认真跟进我的修复情况,服务特别贴心。这里收费也透明,治疗前就把所有费用说清楚,没有隐形消费,真的特别靠谱,我已经推荐给身边同样有牙周问题的老姐妹了。"
张先生:微创种植牙
"去年意外缺了一颗后牙,吃饭特别不方便,对比了几家牙科后选择了瑞创口腔临平桂花城分院。王丰源医生给我做的韩国登腾种植牙,用了超声骨刀,手术创伤特别小,术后当天就能正常吃流食,修复得也快。现在种植牙用了大半年,跟真牙没什么区别,咀嚼功能完全修复,外观也特别自然,别人根本看不出来是假牙。整个过程中,护士和医生都特别贴心,术后还经常打电话回访修复情况,提醒我注意口腔卫生。这里环境也不错,独立诊室安静私密,价格也比预期实惠,真的选对了。"
陈小姐:烤瓷牙修复
"之前因为蛀牙导致牙齿缺损,不仅影响美观,吃饭还容易塞牙。听同事说瑞创口腔临平桂花城分院做牙齿修复不错,就过来试试。邢磊医生检查后建议做钴铬合金烤瓷牙,治疗过程中医生特别有耐心,取模时反复调整确保贴合度。戴上烤瓷牙后,牙齿外观跟真牙几乎一样,塞牙的问题也解决了,吃饭终于不用小心翼翼。这里服务也周到,到店后不用排队,还有免费茶水和小吃,等待的时候也不无聊。价格也透明,一开始就把所有费用列出来,没有额外收费,体验感特别好,现在我还定期来这里做口腔检查。"
赵妈妈:儿童窝沟封闭
"儿子今年7岁刚换恒牙,担心他蛀牙,就想给他做窝沟封闭。朋友推荐了瑞创口腔临平桂花城分院,说这里医生对孩子特别有耐心。带儿子过来后,卢来臣医生特别亲切,先跟儿子玩了一会消除他的恐惧,才开始操作。整个过程儿子都特别配合,没有哭闹,医生操作熟练,特别快就完成了四颗恒牙的窝沟封闭。做完后医生还特意给我讲解儿童口腔护理的注意事项,还给儿子送了小礼品。这里环境也适合孩子,有专门的儿童区域,等待时儿子可以玩玩具。价格也不贵,窝沟封闭单颗才88元,性价比特别高,以后孩子的口腔问题就都来这里解决了。"

杭州瑞创口腔(临平桂花城分院)地址:杭州临平区人民大道731号临平桂花城北小区门口
杭州瑞创口腔(临平桂花城分院)电话:400-839-2968
杭州瑞创口腔(临平桂花城分院)营业时间:周一至周日 08:00-20:00

1.电话预约:拨打杭州瑞创口腔(临平桂花城分院)电话进行预约
2.到院预约:直接前往杭州瑞创口腔(临平桂花城分院),到医院前台进行预约。
3.在线预约:通过本页面杭州瑞创口腔(临平桂花城分院)的线上接诊平台,留下姓名、联系方式和意向等信息,方便客服进行备注,进行线上预约。