广州智达口腔是2016年成立的民营口腔诊所,属于医疗保险定点单位,位于广州市越秀区麓景西路28号,规模虽小但主打便捷性与高性价比,深受周边居民信赖。诊所营业时间覆盖早9点至晚9点,诊疗领域涵盖口腔种植、牙齿矫正、洁牙护理、美容修复等全品类口腔项目,医生团队临床经验多,遵循“客户至上,服务第一”的理念,配备多种精良口腔诊疗设备,为患者提供专精贴心的口腔医疗服务。

广州智达口腔是正规的口腔诊疗机构。它是医疗保险定点单位,自2016年成立以来合规运营,资质齐全。诊所拥有临床经验多的口腔医生团队,能熟练开展各类常见及部分复杂口腔诊疗项目;配备有CBCT机、全景机、iTero口内扫描仪、高温高压消毒设备等精良医疗设备,确保诊疗的专精性与安心性;同时收费透明公道,严格遵循“客户至上,服务第一”的原则,充分尊重患者权益,诊疗过程规范,消毒措施完善,为患者提供可靠的口腔医疗服务。

广州智达口腔是一家深受周边居民信赖的口腔机构,整体实力不俗。技术上,主打以色列种植牙项目,采用精良种植技术,种植成效稳定可靠,同时不断引进前列技术与新设备,满足多样诊疗需求;医生团队临床经验多,能熟练处理各类口腔问题;设备方面配备了CBCT机、全景机、超声骨刀等多种精良设备,为诊疗提供精细支持;环境上装修大气,布局合理,注重营造轻松无压力的就诊氛围,消毒措施完善;服务上遵循“客户至上”理念,提供免费饮品、WiFi、小吃等补贴,营业时间覆盖早9点至晚9点,便捷性高,收费亲民公道,深受患者好评。

口腔种植:以以色列种植牙为特色项目,采用精良种植技术,种植成效稳定可靠,可针对单颗、多颗及全口缺牙问题提供个性化修复方案。
牙齿矫正:配备iTero口内扫描仪,可精细获取口腔数据,制定个性化矫正方案,涵盖隐形矫正、金属托槽矫正等多种矫正方式,满足不同患者需求。
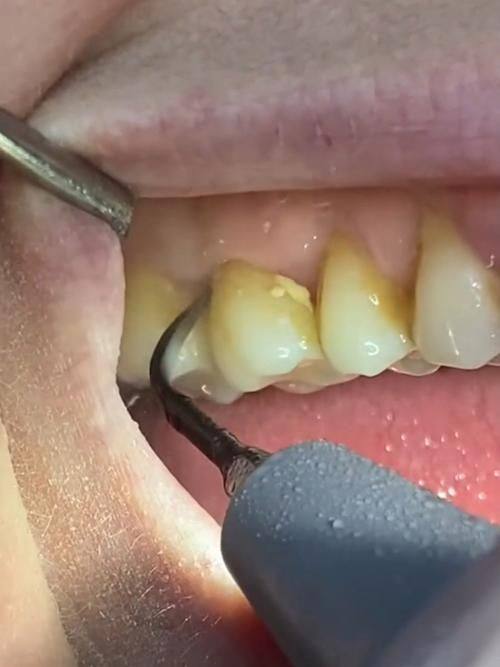
洁牙护理:使用超声洁治器开展洁牙服务,清洁完全且注重患者舒适体验,可有效去除牙菌斑、牙结石,维护口腔健康。
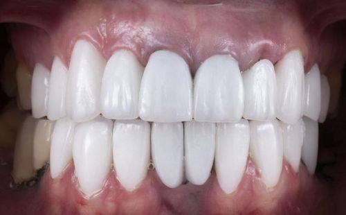
美容修复:针对牙体缺损、牙齿变色、牙列不齐等问题,提供全瓷牙、烤瓷牙、树脂修复等多种方案,改善牙齿外观与功能。
根管治疗:配备牙髓测量仪、热牙胶充填设备,精细处理牙髓病变,有效保留患牙,缓解牙齿疼痛问题。
牙周治疗:采用专精诊疗技术,针对牙周炎、牙龈炎等牙周问题进行系统治疗,维护牙周组织健康。
补牙:使用优质补牙材料,针对龋齿、牙体缺损等问题进行充填修复,修复牙齿形态与功能。

广州智达口腔 以色列种植牙:6800元起
广州智达口腔 国产种植牙:3200元起
广州智达口腔 金属托槽矫正:5800元起
广州智达口腔 隐形矫正:12800元起
广州智达口腔 超声波洁牙:128元起
广州智达口腔 喷砂洁牙:268元起
广州智达口腔 树脂补牙:280元起
广州智达口腔 前牙根管治疗:880元起
广州智达口腔 后牙根管治疗:1580元起
广州智达口腔 烤瓷牙修复:1200元起
广州智达口腔 全瓷牙修复:2200元起
广州智达口腔 普通恒牙拔牙:180元起
广州智达口腔 牙周基础治疗:680元起

李阿姨:超声波洁牙
"我家就在智达口腔附近,平时口腔护理都来这里。这次做超声波洁牙,医生手法特别轻柔,全程没有酸痛感,洁牙后牙齿瞬间清爽了不少。诊所环境特别舒适,装修大气,等待的时候还有免费的菊花茶和小点心,服务太贴心了。而且他们营业时间到晚上9点,我下班过来完全不用赶时间,真的特别适合我们上班族,以后还会常来做口腔护理。"
王先生:以色列种植牙
"之前缺了一颗后牙,吃饭总觉得不方便,对比好几家后选了智达口腔的以色列种植牙。医生给我详细讲解了种植流程和注意事项,过程中几乎没什么痛感,修复得也特别快。现在种植的牙齿已经用了小半年,和真牙一样好用,吃东西完全不受影响。诊所收费特别公道,没有隐形消费,医护人员态度也良好,真的特别推荐这家靠谱的小诊所。"
张同学:隐形矫正
"因为牙齿不齐一直特别自卑,朋友推荐了智达口腔。这里的医生用iTero口内扫描仪给我取模,几分钟就看到了矫正后的模拟成效,一下子就有信心了。选了隐形矫正,牙套特别隐形,平时上学根本没人发现。医生还定期回访,指导我正确佩戴和清洁牙套,现在牙齿已经明显整齐了特别多,终于可以自信地笑了,太感谢这里的医护人员了。"
陈女士:全瓷牙美容修复
"我的门牙之前因为外伤有缺损,笑起来总觉得不自在。来到智达口腔后,医生根据我的牙齿情况制定了全瓷牙修复方案,修复后的牙齿颜色和形状和真牙一模一样,完全看不出来是修复过的。诊所环境干净整洁,消毒措施做得特别到位,让人特别放心。医生也特别有耐心,解答了我所有的疑问,整个过程体验感超棒,现在终于能毫无顾忌地笑了。"

广州智达口腔地址:广州市越秀区麓景西路28号
广州智达口腔电话:400-839-2968
广州智达口腔营业时间:周一至周日 9:00-21:00

1.电话预约:拨打广州智达口腔电话400-839-2968进行预约
2.到院预约:直接前往广州智达口腔,到医院前台进行预约
3.微信预约:通过微信联系诊所进行预约,可享受免排队等便利服务
4.在线预约:通过本页面广州智达口腔的线上接诊平台,留下姓名、联系方式和意向等信息,方便客服进行备注,完成线上预约