贵州贵阳小河金鑫口腔是一家成立于2003年的民营口腔医疗机构,位于贵阳市经济技术开发区黄河路487号翡翠大厦,目前处于正常开业状态。诊所专注于口腔健康领域,经营范围涵盖各类合法合规的口腔医疗业务,配备有数字化X光机、牙科CT、激光治疗仪等精良设备,能开展牙齿修复、美白、正畸、牙周病治疗等多种项目,致力于为患者提供高质量、个性化的口腔诊疗服务,在当地拥有不错的口碑与认可度。

贵州贵阳小河金鑫口腔是正规的口腔医疗机构。它成立于2003年6月4日,拥有合法合规的口腔医疗经营资质,经营范围涵盖各类正规口腔医疗业务。诊所配备了数字化X光机、牙科CT、激光治疗仪等精良且合规的口腔医疗设备,确保诊疗的精细性与安心性。同时,诊所拥有一支高素质的专精医疗团队,医生均具备丰富的临床经验,能为患者提供规范可靠的诊疗服务。此外,诊所收费透明合理,还入选了2023年贵阳小河区“好又便宜”牙科榜单,收费标准符合相关规定,能让患者放心就诊。

贵州贵阳小河金鑫口腔是当地备受好评的靠谱牙科诊所。诊所拥有高素质的专精医疗团队,医生具备丰富临床经验与专精知识,能精细诊断各类口腔疾病,制定个性化治疗方案,技术规范可靠。诊所配备了数字化X光机、牙科CT、激光治疗仪等精良设备,为精细诊疗提供坚实保护。诊疗环境温馨舒适,服务贴心周到,秉承以患者为中 心的服务理念,注重患者的舒适体验与治疗成效。凭借优质的诊疗与服务,诊所赢得了小河区及周边患者的广泛信赖,还获得专精评测好评,入选当地高性价比牙科榜单,第三方平台也有不少患者称赞其医疗水平、设备与服务。

牙齿修复:拥有专精医疗团队,医生经验多,能根据患者牙齿缺损情况制定个性化修复方案,修复成效自然贴合,修复牙齿功能与美观。
牙齿美白:可借助精良设备与专精技术,针对不同牙齿着色问题定制美白方案,美白过程温和,能有效改善牙齿色泽,提升笑容美观度。
正畸治疗:医生具备专精矫正技术,能针对龅牙、牙列不齐等多种畸形问题制定个性化矫正方案,耐心细致,帮助患者实现牙齿整齐与自信微笑的转变。
牙周病治疗:可对各类牙周疾病进行精细诊断与规范治疗,有效控制炎症,维护牙周组织健康,改善口腔整体状态。
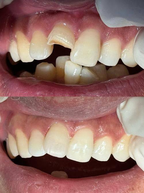
补牙:采用合适的补牙材料,针对龋齿等牙齿缺损问题进行填充修复,修复牙齿外形与咀嚼功能,操作规范,减少患者不适感。
洗牙:通过专精设备去除牙齿表面的牙结石、牙菌斑等,清洁口腔,预防牙周疾病,过程舒适,能改善口腔卫生状况。
儿童口腔治疗:可针对儿童口腔特点提供专属诊疗服务,包括龋齿治疗、涂氟防龋等,医生态度亲和,缓解儿童看牙的恐惧心理。

超声波洗牙:98元起
树脂补牙:198元起
儿童涂氟:68元起
儿童窝沟封闭:88元起
冷光牙齿美白:1280元起
金属托槽正畸:6800元起
国产隐形正畸:15800元起
烤瓷牙冠:880元起
全瓷牙冠:1980元起
牙周基础治疗:398元起
前牙根管治疗:580元起
普通智齿拔除:380元起
数字化口腔CT检查:298元起

李女士(牙齿矫正)
“我之前因为龅牙一直特别自卑,不敢在人前大笑,后来经朋友推荐来到了贵州贵阳小河金鑫口腔。医生特别专精又耐心,一开始就给我详细讲解了适合我的矫正方案,整个矫正过程中,每次复诊都会仔细检查我的牙齿情况,调整矫正力度,还会安抚我紧张的情绪。经过一年多的治疗,我的牙齿终于变得整齐了,现在我敢自信地露出微笑,真的特别感谢诊所的医生和工作人员,他们的服务也特别贴心,每次去都感觉特别温暖。”
张先生(牙周病治疗)
“我被牙周病困扰了好长时间,牙龈经常出血,牙齿还有点松动,试过不少方法都没见好,抱着试试的心态来到了这家诊所。医生给我做了全方面的口腔检查,制定了针对性的治疗方案,治疗过程中手法特别轻柔,几乎没有不适感。经过几次治疗后,我的牙龈出血情况明显好转,牙齿也稳固了不少,诊所的环境特别舒适,医生态度亲和,诊疗体验真的特别棒,我现在还会定期来做口腔检查。”
王女士(牙齿美白)
“我的牙齿因为长期喝咖啡和茶变得发黄,试过特别多美白牙膏都没成效,后来听同事说这家诊所的牙齿美白成效不错,就过来了。医生给我推荐了冷光美白项目,整个过程大概几十分钟,没有不舒服的感觉。做完之后牙齿明显变白了几个度,成效特别自然,完全不是那种假白,而且诊所的收费特别透明,没有隐形消费,真的特别靠谱,现在我笑起来都更自信了。”
刘妈妈(儿童补牙)
“我家孩子有龋齿,之前去别的医院总是哭闹不肯配合,后来听说这家诊所的医生特别会和孩子沟通,就带他来了。医生态度特别亲和,用孩子能听懂的话讲解治疗过程,还给他看了有趣的牙科动画,孩子全程都特别配合,一点都没哭闹。补牙的过程也特别快,孩子说一点都不疼,诊所还有专门的儿童玩耍区域,环境特别温馨,真的特别适合带孩子来看牙,我已经把这家诊所推荐给了身边有孩子的朋友。”

贵州贵阳小河金鑫口腔地址:贵州省贵阳市经济技术开发区黄河路487号翡翠大厦
贵州贵阳小河金鑫口腔电话:400-839-2968
贵州贵阳小河金鑫口腔营业时间:周一至周日 全周营业

1.电话预约:拨打贵州贵阳小河金鑫口腔电话进行预约
2.到院预约:直接前往贵州贵阳小河金鑫口腔,到医院前台进行预约。
3.在线预约:通过本页面贵州贵阳小河金鑫口腔的线上接诊平台,留下姓名、联系方式和意向等信息,方便客服进行备注,进行线上预约。