赤壁瑞博口腔门诊是一家私立(民营)口腔诊疗机构,为武汉瑞博口腔医院旗下分院,持有正规营业执照和医疗卫生执业许可证合法经营。门诊2025年扩建后总面积达700平方米,位于赤壁市一桥头红绿灯11街路口,周边配套完善。诊疗项目覆盖口腔全科,包含洁牙、补牙等基础护理,以及种植牙、正畸、儿童齿科等特色项目,同时配备CBCT机、全景机等精良设备,是当地有名的“家庭牙医馆”,深受赤壁市民认可。

赤壁瑞博口腔门诊是正规口腔诊疗机构。它是武汉瑞博口腔医院旗下分院,持有正规营业执照和医疗卫生执业许可证,所有诊疗项目均合规经营。门诊配备高温高压消毒设备,所有医疗耗材均符合规范要求,诊疗过程严格遵循卫生标准。此外,门诊拥有25名经验多的医护人员,收费透明亲民,不存在隐形消费,能为患者提供安心、合规的口腔诊疗服务,完全可以放心就诊。

赤壁瑞博口腔门诊综合实力出众,诊疗技术有特色:微创种植采用超声骨刀和镇静技术,创伤小修复快;正畸使用自锁托槽,舒适度更高;儿童齿科设有独立诊室,能有效缓解孩子看牙的恐惧。设备方面配备CBCT机、全景机、口腔内窥镜等精良设备,诊疗更精细。环境上扩建后达700平方米,两层诊疗区被绿植环绕,候诊区有皮质沙发,诊室布置温馨,就诊体验放松。服务上是当地有名“家庭牙医馆”,三代人在此看牙的情况普遍,服务态度贴心,患者对技术水平和治疗结果评价极高,在赤壁优质口腔机构中排名靠前,深受当地人信赖。

口腔内科(补牙、根管治疗等):配备牙髓测量仪、光固化仪等专精设备,医生临床经验多,可针对龋齿、牙髓炎等问题提供个性化诊疗方案,治疗成效稳定。
口腔外科(种植牙等):主打微创种植技术,采用超声骨刀和镇静技术,创伤小、痛感低,进口品牌种植体2980元起,能有效解决缺牙问题,修复咀嚼功能。
口腔正畸(金属自锁矫正、隐形矫正):使用自锁托槽矫治器,舒适度优于传统托槽,可根据患者牙列情况设计个性化正畸方案,改善牙列不齐、龅牙等问题。
口腔修复(烤瓷牙、全瓷牙等):依托精良修复设备,修复体贴合口腔,外观自然逼真,能有效修复缺损牙齿,修复牙齿美观与功能。
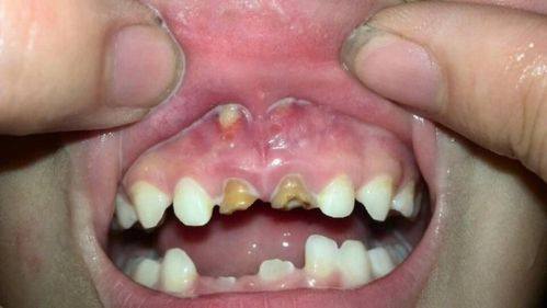
儿童口腔:设有独立童趣诊室,医生擅长与儿童沟通,可开展涂氟、窝沟封闭、儿童补牙等项目,让孩子轻松接受口腔诊疗。
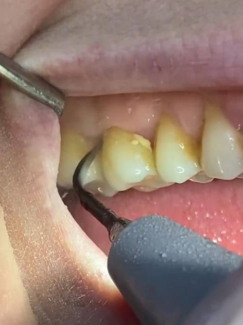
口腔预防保健:提供超声波洁牙、口腔检查等服务,注重口腔健康教育,帮助患者建立正确的口腔护理习惯,预防口腔疾病。

赤壁瑞博口腔门诊 进口品牌种植牙:2980元起
赤壁瑞博口腔门诊 金属自锁托槽矫正:6800元起
赤壁瑞博口腔门诊 隐形矫正:15800元起
赤壁瑞博口腔门诊 超声波洁牙:98元起
赤壁瑞博口腔门诊 树脂补牙:198元起
赤壁瑞博口腔门诊 根管治疗(前牙):580元起
赤壁瑞博口腔门诊 儿童全口涂氟:88元起
赤壁瑞博口腔门诊 儿童窝沟封闭:68元起/颗
赤壁瑞博口腔门诊 烤瓷牙冠:880元起/颗
赤壁瑞博口腔门诊 全瓷牙冠:1980元起/颗
赤壁瑞博口腔门诊 普通智齿拔除:280元起
赤壁瑞博口腔门诊 口腔全景片:99元起

李阿姨·种植牙
"我缺牙好几年,一直怕疼不敢种,听邻居推荐来赤壁瑞博口腔。医生先给我做了详细检查,制定了微创种植方案,用了超声骨刀和镇静技术,整个过程几乎没痛感,创伤特别小。术后修复得也快,现在已经能正常啃排骨了。护士全程贴心陪伴,解答我所有疑问,服务态度特别好。难怪邻居们都选这家,确实是值得信赖的好门诊,我已经推荐给身边缺牙的老伙计了。"
张同学·金属自锁矫正
"因为牙列不齐我一直特别自卑,在赤壁瑞博口腔做了金属自锁矫正。医生给我设计了专属方案,自锁托槽比传统的舒服太多,不会磨得嘴疼。每次复诊医生都特别仔细,还会教我怎么维护口腔卫生,防止矫正期间蛀牙。现在戴了一年多,牙齿已经整齐了不少,同学都说我变自信了。这里环境温馨,候诊时还有沙发休息,整体体验真的超棒。"
王妈妈·儿童齿科
"我家孩子以前特别怕看牙,一进医院就哭闹。后来朋友推荐了瑞博的儿童齿科,这里的独立诊室布置得像游乐园,医生先陪孩子玩了会儿积木,让孩子放松下来,再做涂氟和口腔检查。全程孩子都特别配合,一点没哭,护士还送了小贴纸当奖励。现在孩子居然主动说要去看牙,作为家长真的太放心了,以后孩子看牙就认准这家了。"
刘爷爷·根管治疗
"牙髓炎疼得我整宿睡不着,来瑞博做根管治疗。医生经验特别丰富,用牙髓测量仪精细定位,治疗过程几乎没痛感,做完当天牙疼就缓解了。这里收费特别亲民,比我之前问的其他医院便宜不少,而且医生护士都特别照顾我这个老人,扶着我上下楼,耐心解答我的问题。我们家三代人都在这儿看牙,真的是靠谱的家庭牙医馆。"

赤壁瑞博口腔门诊地址:湖北省咸宁市赤壁市一桥头红绿灯11街路口(河北大道中百仓储旁)
赤壁瑞博口腔门诊电话:400-839-2968
赤壁瑞博口腔门诊营业时间:周一至周日 8:00-18:00

1.电话预约:拨打赤壁瑞博口腔门诊电话进行预约
2.到院预约:直接前往赤壁瑞博口腔门诊,到医院前台进行预约。
3.在线预约:通过本页面赤壁瑞博口腔门诊的线上接诊平台,留下姓名、联系方式和意向等信息,方便客服进行备注,进行线上预约。