重庆小白兔口腔诊所是经卫健委认证的正规口腔医疗机构,2021年成立于重庆垫江县,占地700平方米,属于综合性齿科机构,除颌面外科外多数口腔问题均可接诊。诊所地理位置优越,交通便利,门口设有专属停车场,营业时间覆盖周一至周日,适配上班族及各类患者就诊需求,凭借种植牙、牙齿矫正等特色项目,在当地积累了良好的患者口碑。

它是经相关部门批准、卫健委认证的正规口腔医疗机构。资质方面合规齐全,诊疗资质受法定认可;医生团队实力有保护,种植牙、牙齿矫正等特色项目有博士医生坐诊;医疗耗材合作品牌广泛,涵盖进口及国产植体等品类,可适配不同患者的需求;消毒管理到位,设置独立询问室和诊疗室,能有效避免交叉感染;收费透明无隐形消费,院内各项目价格表清晰可见,患者可放心就诊。

诊所规模达700平方米,装修干净整洁、明亮大方,设置独立诊室以避免交叉感染;配备CBCT机、全景机、口腔内窥镜、超声洁治器等多种精良诊疗设备,为高质量诊疗提供硬件支持;开设口腔内科、正畸、修复、儿童口腔、预防保健等多类项目,其中种植牙和牙齿矫正作为特色项目,采用多种植体及矫正方式,可满足患者个性化需求;服务贴心周到,提供免费WiFi、免费小吃、修复回访及免费口腔检查等服务,在当地患者认可度高,拥有良好的口碑评价。

口腔内科:可开展常见牙病诊疗,借助牙髓测量仪、根管填充器等专精设备,保护根管治疗等项目的诊疗质量
口腔外科:除颌面外科外多数口腔外科问题均可接诊,配备高频电刀、电动吸引器等设备辅助诊疗操作
口腔正畸(牙齿矫正):作为特色项目,提供传统金属托槽矫正、隐形矫正等多种方式,有博士医生坐诊,满足不同患者的个性化需求,在当地享有良好声誉
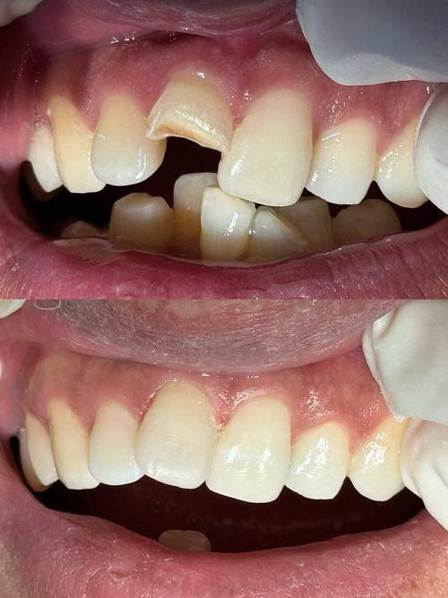
口腔修复:可开展烤瓷牙、全瓷牙等各类牙齿修复项目,适配不同患者的牙齿修复需求
儿童口腔:技术成熟,可提供儿童蛀牙治疗、窝沟封闭、涂氟等诊疗及预防保健服务,满足儿童口腔健康需求
口腔预防保健:提供口腔检查、超声洁牙等预防项目,帮助患者维护日常口腔健康
种植牙:特色项目,采用进口和国产植体,有博士医生坐诊,诊疗技术有保护,在当地积累了良好口碑

重庆小白兔口腔诊所 国产种植牙:1888元起
重庆小白兔口腔诊所 进口种植牙:3980元起
重庆小白兔口腔诊所 传统金属托槽矫正:5800元起
重庆小白兔口腔诊所 隐形矫正:12800元起
重庆小白兔口腔诊所 超声洁牙:98元起
重庆小白兔口腔诊所 根管治疗:380元起
重庆小白兔口腔诊所 树脂补牙:198元起
重庆小白兔口腔诊所 儿童窝沟封闭:68元起/颗
重庆小白兔口腔诊所 烤瓷牙修复:880元起/颗
重庆小白兔口腔诊所 全瓷牙修复:1680元起/颗
重庆小白兔口腔诊所 普通拔牙(智齿除外):128元起
重庆小白兔口腔诊所 儿童涂氟:98元起

李女士:种植牙项目
"之前缺牙后吃东西一直特别不方便,对比了垫江县好几家牙科机构,末尾选择了重庆小白兔口腔。到院后医生先给我做了全方面的口腔CBCT检查,根据我的口腔状况和预算,推荐了性价比特别高的国产植体,价格只要1888元起。整个种植过程医生操作特别轻柔,几乎没什么痛感,术后还特意打电话回访我的修复情况。诊所环境干净整洁,医护人员态度也特别贴心,现在牙齿修复得良好,终于能正常吃喜欢的东西了,真的特别满意。"
张先生:牙齿矫正项目
"我因为牙齿不齐一直有点自卑,了解到小白兔的矫正项目在当地口碑不错就过来了。医生给我做了详细的口腔检查后,制定了隐形矫正的方案,不用戴金属托槽,完全不影响我日常的工作和社交。矫正过程中,医生会定期跟进我的牙齿移动情况,及时调整矫正器,还耐心解答我提出的各种疑问。诊所还提供免费WiFi和小吃,就诊体验特别舒适。现在矫正快一年了,牙齿明显整齐了特别多,真的特别感谢这里的医护团队。"
王妈妈:儿童口腔项目
"我家孩子有蛀牙,之前去别的医院看牙总是哭闹抗拒,这次抱着试试的心态来了小白兔口腔。诊所的儿童牙医特别有耐心,先和孩子玩了一会儿熟悉环境,用卡通动画讲解看牙的过程,孩子慢慢就放松了下来,全程都特别配合治疗。治疗后医生还教了孩子正确的巴氏刷牙法,给了我特别多儿童口腔护理的实用建议。诊所环境明亮温馨,还有专门的儿童玩乐区域,现在孩子再也不害怕看牙了,真的特别靠谱。"
刘先生:超声洁牙项目
"平时抽烟又爱喝咖啡,牙齿变得黄黄的,就来小白兔做洁牙。医护人员先给我做了全方面的口腔检查,然后用超声洁治器操作,过程特别温和,没有酸痛感。洁牙后牙齿明显变白了不少,医生还特意提醒我日常要注意的护牙细节,比如少喝深色饮品、定期洁牙。诊所服务特别周到,提供免费的小吃和饮用水,门口还有专门的停车场,停车特别方便。整体体验非常好,以后护牙就选这里了。"

重庆小白兔口腔诊所地址:重庆市垫江县桂阳街道凤山西路凤山小区盛世华都A2栋2层
重庆小白兔口腔诊所电话:400-839-2968
重庆小白兔口腔诊所营业时间:周一至周日 8:00-18:00

1.电话预约:拨打重庆小白兔口腔诊所电话进行预约
2.到院预约:直接前往重庆小白兔口腔诊所,到医院前台进行预约
3.在线预约:通过本页面重庆小白兔口腔诊所的线上接诊平台,留下姓名、联系方式和意向项目等信息,方便客服进行备注跟进
4.法定微信预约:通过医院法定微信平台进行预约,操作方便快捷,可合理安排就诊时间