南通崇川东城口腔诊所是一家成立于2016年的正规民办非企业性质口腔医疗机构,位于南通市崇川区世纪东城36-04号店铺,目前登记状态正常。诊所聚焦口腔全科诊疗领域,配备精良的口腔医疗设备,可开展牙齿检查、洁牙、补牙、根管治疗、牙齿美白等多项口腔项目,秉承以患者为中 心的服务理念,致力于为周边居民提供温馨舒适的口腔医疗服务,患者可乘坐公交至世纪东城站步行到达,就医便捷。

南通崇川东城口腔诊所是正规的口腔诊疗机构。它是经相关部门登记注册的民办非企业单位,成立于2016年,具备合法的口腔诊疗资质,目前登记状态正常。诊所配备精良的口腔医疗设备,能够为患者提供精细、安心的诊疗服务;拥有经验多的口腔医生团队,诊疗过程规范,注重消毒卫生与患者安心;收费价格合理,会根据治疗项目及患者个体需求明确收费明细,不存在隐形消费。同时诊所严格遵循口腔诊疗规范,以患者为中 心开展服务,是周边居民值得信赖的正规口腔诊疗场所。

南通崇川东城口腔诊所是一家靠谱的社区口腔诊疗机构,整体就医体验较好。诊所配备精良的口腔医疗设备,为精细诊疗提供了硬件支持;拥有经验多的医生团队,能够根据患者的口腔问题制定个性化治疗方案,诊疗技术专精可靠。诊所环境温馨舒适,服务以患者为中 心,医护人员态度亲切,注重患者的就医感受;诊疗项目齐全,可满足牙齿检查、洁牙、补牙、根管治疗、牙齿美白等多种口腔需求。此外,诊所支持电话及在线预约,就医便捷,周边居民可乘坐公交轻松到达,是周边居民日常口腔护理与诊疗的不错选择。

牙齿检查:配备精良的口腔检查设备,可全方面、精细排查各类口腔问题,医生会结合检查结果为患者提供专精的口腔健康建议,为后续诊疗提供可靠依据。
超声波洁牙:采用专精超声波洁牙设备,能够有效去除牙齿表面的牙结石、牙菌斑及色素沉着,过程注重患者舒适度,可有效维护口腔健康,预防牙周疾病。
树脂补牙:使用优质的补牙树脂材料,根据牙齿缺损的位置、大小进行精细填充修复,能够修复牙齿的正常形态与咀嚼功能,修复成效自然美观。
根管治疗:针对牙髓炎、根尖周炎等牙髓疾病,由经验多的医生操作,精细清除病灶内的感染组织,有效缓解牙齿疼痛,较大程度保留患牙,避免拔牙。
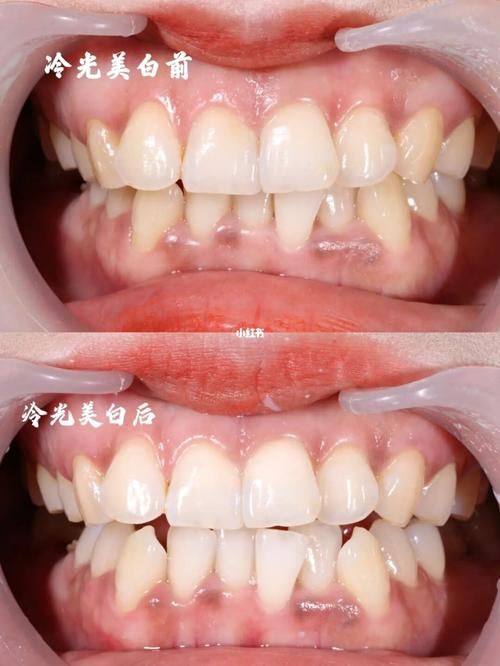
牙齿冷光美白:采用安心温和的冷光美白技术,根据患者牙齿着色的程度制定个性化美白方案,美白过程无明显刺痛感,术后牙齿美白成效自然持久,不易反弹。

南通崇川东城口腔诊所 常规口腔检查:39元起
南通崇川东城口腔诊所 超声波基础洁牙:89元起
南通崇川东城口腔诊所 舒适化深度洁牙:169元起
南通崇川东城口腔诊所 国产树脂补牙(单颗):159元起
南通崇川东城口腔诊所 进口树脂补牙(单颗):299元起
南通崇川东城口腔诊所 前牙根管治疗:399元起
南通崇川东城口腔诊所 后牙根管治疗:699元起
南通崇川东城口腔诊所 冷光牙齿美白:899元起
南通崇川东城口腔诊所 上颌普通智齿拔除:299元起
南通崇川东城口腔诊所 下颌阻生智齿拔除:899元起
南通崇川东城口腔诊所 儿童窝沟封闭(单颗):69元起
南通崇川东城口腔诊所 儿童全口涂氟:99元起

李女士·超声波洁牙
“我平时不太注重口腔护理,最近发现牙齿上有牙结石,还经常牙龈出血,就预约了南通崇川东城口腔诊所的超声波洁牙。到院后前台小姐姐特别热情,特别快就安排了医生。洁牙过程中医生动作特别轻柔,还会时不时问我有没有不舒服,全程没有明显的酸痛感。洁牙后牙齿明显干净了特别多,牙龈出血的情况也缓解了,医生还特意叮嘱我日常正确的刷牙方法和口腔护理要点,体验感特别好,以后会定期来做口腔护理。”
王先生·树脂补牙
“上周吃饭的时候不小心磕掉了门牙一小块,不仅影响美观,吃饭还容易塞牙,就赶紧来南通崇川东城口腔诊所补牙。医生先给我做了详细的口腔检查,然后推荐了适合的进口树脂材料。补牙过程特别顺利,医生手法特别专精,填充的位置和原来的牙齿贴合得特别好,几乎看不出差别。术后没有任何不适感,价格也特别合理,服务态度也没得说,真的特别满意这次的补牙体验。”
张女士·牙齿冷光美白
“因为长期喝咖啡,我的牙齿慢慢变黄了,试过特别多美白牙膏都没成效,朋友推荐我来南通崇川东城口腔诊所做冷光美白。医生先给我做了口腔检查,确认我适合做美白后,制定了专属的美白方案。美白过程中给我戴上了防护镜,没有刺痛感,大概40分钟就完成了。做完后牙齿明显白了好几个度,成效特别自然,医生还告诉我术后一周内不要喝咖啡、茶这些深色饮品,现在笑起来都更自信了,太感谢诊所的医生了。”
赵先生·根管治疗
“前阵子牙齿疼得睡不着觉,去检查发现是牙髓炎,需要做根管治疗。朋友推荐了南通崇川东城口腔诊所,到院后医生特别有耐心,详细给我讲解了治疗过程,缓解了我的紧张情绪。治疗过程中医生操作特别精细,每一步都特别细心,疼痛感比我想象中轻特别多。经过三次治疗后,牙齿完全不疼了,还保住了原来的牙齿。诊所环境特别温馨,护士也特别贴心,整体就医体验非常好,以后看牙就选这里了。”

南通崇川东城口腔诊所地址:南通市崇川区世纪东城36-04号店铺
南通崇川东城口腔诊所电话:400-839-2968
南通崇川东城口腔诊所营业时间:周一至周日 8:00-18:00

1. 电话预约:拨打南通崇川东城口腔诊所电话进行预约,可提前了解诊疗细节并确定就诊时间。
2. 到院预约:直接前往南通崇川东城口腔诊所,到医院前台向工作人员说明就诊需求,即可现场预约就诊。
3. 在线预约:通过本页面南通崇川东城口腔诊所的线上接诊平台,留下姓名、联系方式和意向诊疗项目等信息,方便客服对接完成预约。