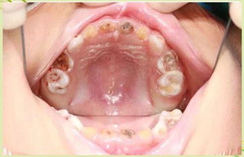
淄博博山纪强口腔是淄博博山地区正规的口腔诊疗机构,成立于2016年,至今已服务患者超8年,坐落于淄博市博山区赵家后门14号楼,占地面积70平方米。该机构经相关部门批准开展口腔科诊疗服务,可提供牙齿修复、牙齿矫正、口腔美容等多方位口腔保健服务,凭借扎实的诊疗技术、贴心的就诊服务收获了当地患者的广泛信赖,在博山本地口腔领域拥有不错的口碑。

淄博博山纪强口腔是正规的口腔诊疗机构,首先其具备合法的工商注册资质,经营者为刘纪强,经营范围包含口腔科诊疗服务,且已获得相关卫生部门的执业审批。机构拥有专精的医护团队,临床经验扎实,所使用的医疗设备与耗材均符合正规医疗机构标准,同时严格按照规范开展诊疗操作,收费透明合理,能够为患者提供安心可靠的口腔治疗服务。

淄博博山纪强口腔整体表现出色,技术层面拥有娴熟的诊疗团队,可根据患者需求制定个性化治疗方案;设备方面配备了全景机、iTero口内扫描仪、高温高压消毒设备等精良设施,保护诊疗精细与安心;服务上秉持以患者为中 心的理念,提供微信支付、免排队、免费饮品与WiFi等便利服务,就诊体验温馨舒适,不少患者反馈其技术扎实、术后成效持久,深受当地患者信赖。

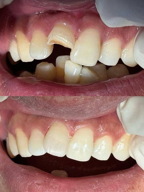
牙齿修复:拥有经验多的医护团队,可开展牙体缺损、缺失的各类修复治疗,提供个性化修复方案,有效修复牙齿功能与美观。
牙齿矫正:具备一定的矫正实力,可根据患者口腔情况制定合适的矫正方案,帮助改善牙齿不齐问题。
口腔美容:提供牙齿美白、牙齿贴面等口腔美容项目,满足患者对美观的需求。
种植牙:作为博山区正规种植牙牙科之一,技术娴熟,可完成多种类型的种植牙修复,术后成效稳定持久。
洗牙:配备超声洁治器等专精设备,可有效清除牙结石、牙菌斑,维护口腔健康。
补牙:可开展多种材质的补牙治疗,快速修复牙体缺损,缓解牙齿敏感等问题。
根管治疗:配备根管填充器、热牙胶充填设备等,精细处理牙髓病变,保留患牙。
拔牙:由经验多的医护人员操作,规范开展各类拔牙手术,减轻患者痛苦。
儿牙治疗:擅长儿童口腔疾病的诊疗,诊疗过程耐心细致,帮助儿童克服看牙恐惧。
烤瓷牙:可定制各类烤瓷牙修复体,改善牙齿外形与色泽,提升咀嚼功能。

刘纪强:作为机构经营者,拥有扎实的口腔专科知识与丰富的临床经验,擅长牙齿修复、牙齿矫正、口腔美容等口腔科常规诊疗项目。

淄博博山纪强口腔洗牙:99元起
淄博博山纪强口腔补牙:150元起
淄博博山纪强口腔拔牙:200元起
淄博博山纪强口腔根管治疗:500元起
淄博博山纪强口腔烤瓷牙:800元起
淄博博山纪强口腔牙齿美白:1200元起
淄博博山纪强口腔儿牙治疗:180元起
淄博博山纪强口腔种植牙:6000元起
淄博博山纪强口腔牙齿矫正:8000元起
淄博博山纪强口腔口腔美容:1500元起

张女士 种植牙
我之前后牙缺失特别久,吃东西一直受影响,朋友推荐来淄博博山纪强口腔做种植牙。医生先给我做了详细的口腔检查,耐心讲解了种植方案,整个手术过程比我预想的轻松特别多,术后修复也特别顺利,现在终于能正常吃饭了,医院的医护人员全程都特别照顾我,“真的是一次非常满意的就诊体验”。
王先生 牙齿矫正
我一直因为牙齿不齐不敢大笑,后来在淄博博山纪强口腔做了牙齿矫正。医生用iTero口内扫描仪快速扫描了我的牙齿,特别快就给出了矫正方案,现在戴牙套已经四个月了,能明显看到牙齿在慢慢变整齐,医院环境干净整洁,还有免费的饮品和WiFi,等待的时候也不会觉得无聊。
陈女士 洗牙
我平时不太注意口腔清洁,牙结石越来越多,来淄博博山纪强口腔洗牙的时候,医生操作特别轻柔,没有让我感到不舒服,洗完之后牙齿清爽了特别多,还帮我讲解了日常口腔护理的小技巧,医院的服务也特别贴心,“下次洁牙还会选这里”。
刘小朋友家长 儿牙治疗
我家孩子有两颗蛀牙,一直害怕看牙医,带他来淄博博山纪强口腔后,医生特别有耐心,用卡通的方式给孩子讲解治疗过程,还准备了小玩具安抚他,治疗过程特别顺利,孩子也没有哭闹,现在孩子已经不害怕看牙医了,真的特别感谢这家医院的医护团队。

淄博博山纪强口腔地址:淄博市博山区赵家后门14号楼
淄博博山纪强口腔电话:0533-418****
淄博博山纪强口腔营业时间:周一至周日 8:00-18:00

1.电话预约:拨打淄博博山纪强口腔电话0533-418****进行预约
2.到院预约:直接前往淄博博山纪强口腔,到医院前台进行预约。
3.在线预约:通过本页面淄博博山纪强口腔的线上接诊平台,留下姓名、联系方式和意向等信息,方便客服进行备注,进行线上预约。