贵阳拜博口腔是泰康保险集团旗下齿险结合型口腔连锁机构的贵阳直营分院,属于正规私立口腔医院,诊疗领域涵盖牙齿矫正、种植牙、牙齿美白、根管治疗等多种口腔医疗服务,拥有经验多的医师团队与精良口腔设备,致力于为本地患者提供专精可靠的口腔诊疗服务。

贵阳拜博口腔是正规的口腔医疗机构,可通过卫健委法定渠道查询其执业资质。医院拥有正规执业医师团队,坐诊医生均具备相应执业资格,采用国内外精良的医疗耗材与设备,严格遵循规范的口腔诊疗流程,收费公开透明无隐形消费,从资质、人员、耗材到收费均符合正规医疗机构的运营标准。

贵阳拜博口腔秉持以患者为中 心的服务理念,就医环境温馨舒适。医院配备数字化X光机、口腔CT、激光治疗仪等精良设备,可为患者提供效率高安心的诊疗方案。医师团队经验多,诊疗技术成熟,能够根据患者情况制定个性化方案,同时提供全流程跟踪随访服务,整体患者满意度较高。

牙齿矫正:可开展传统托槽、隐形矫正、舌侧隐形矫正等多种方案,能处理骨性龅牙、地包天、双颌前突等高难度错颌畸形矫正,收费透明公开。
种植牙:擅长骨量不足、全口无牙等复杂种植实例,配备水激光辅助种植、3D数字化种植技术,推出“无忧保”质保服务,非患者原因导致的植体脱落可免费重植。
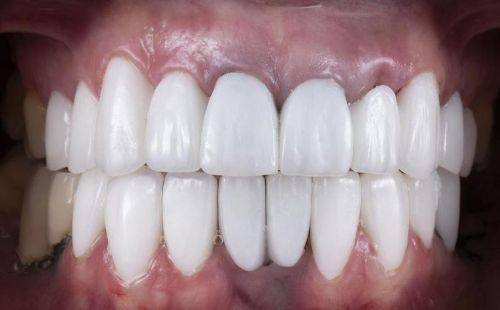
牙齿美白:采用专精美白技术,改善牙齿着色问题,提升牙齿美观度。
根管治疗:针对牙髓感染、根尖周炎等问题,采用标准化治疗流程,保留患牙。
补牙:针对龋齿等牙体缺损问题,采用优质补牙材料修复,修复牙齿形态与功能。
拔牙:开展各类普通拔牙及复杂阻生牙拔除服务,操作规范轻柔。
洗牙:通过专精洁牙设备去除牙结石、牙菌斑,维护口腔健康。
儿牙治疗:针对儿童口腔问题提供诊疗服务,呵护儿童口腔健康。
烤瓷牙:定制个性化烤瓷牙冠,修复缺损牙齿,修复咀嚼功能与美观。
口腔修复:开展各类口腔修复项目,改善牙齿缺失、缺损带来的口腔问题。

彭翼 主治医师:擅长口腔种植与口腔修复,熟练掌握微创种植技术与数字美学修复技术,拥有10余年临床经验,曾在多地涉外齿科进修深造,发表多篇核心期刊论文。
罗星 主事医师:担任贵州拜博口腔医疗总监,从事口腔临床带教工作23年,经验多,擅长口腔全科诊疗,曾参与多项临床科研课题,发表十余篇省级以上论文,在口腔医疗行业享有较高声望。

贵阳拜博口腔 传统金属托槽矫正:22000元起
贵阳拜博口腔 韩系种植牙:5000元起/颗
贵阳拜博口腔 隐形矫正:18000元起
贵阳拜博口腔 超声波洗牙:100元起
贵阳拜博口腔 成人根管治疗:500元起
贵阳拜博口腔 树脂补牙:200元起
贵阳拜博口腔 普通拔牙:300元起
贵阳拜博口腔 牙齿美白:1500元起
贵阳拜博口腔 儿童涂氟防龋:50元起
贵阳拜博口腔 钴铬烤瓷牙:800元起/颗
贵阳拜博口腔 全口洁牙:200元起
贵阳拜博口腔 阻生牙拔除:800元起

李女士&牙齿矫正
“我之前因为牙齿前突不敢大笑,经朋友介绍来贵阳拜博口腔找罗星医生做传统金属托槽矫正。面诊时医生仔细检查了我的口腔情况,耐心讲解了矫正方案和注意事项,整个矫正过程中每次复诊都特别细心调整力度,没有出现明显不适。现在戴了一年多,牙齿已经整齐了特别多,收费透明没有隐形消费,前台服务也特别贴心,真的特别满意。”
张先生&种植牙
“我因为牙周问题掉了一颗后牙,听说贵阳拜博口腔的种植牙技术不错,就过来找彭翼医生做了韩系植体种植。手术过程比我预想的轻松特别多,医生操作特别娴熟,术后还详细交代了注意事项,现在植体已经稳定,咀嚼功能修复得良好,还有无忧保质保,真的特别放心。”
王女士&洗牙补牙
“平时一直没注意口腔清洁,牙结石特别多还蛀了一颗牙,来贵阳拜博口腔洗牙补牙。洗牙的医生特别温柔,没有酸痛感,补牙的时候也耐心讲解了材料的区别,选了适合我的树脂材料,整个过程特别快,收费也特别清楚,之后会定期过来做口腔检查。”
陈先生&根管治疗
“之前牙疼得厉害,来贵阳拜博口腔做根管治疗,接诊的医生特别专精,先帮我做了详细检查,确定了治疗方案,整个治疗过程中一直在安抚我的情绪,缓解了我对看牙的恐惧。治疗后牙疼特别快缓解了,现在牙齿修复正常,真的特别感谢医院的医生和护士。”

贵阳拜博口腔地址:贵州省贵阳市云岩区枣山路2号鸿基馨苑裙第二、三、四层
贵阳拜博口腔电话:400-839-2968
贵阳拜博口腔营业时间:周一至周日 8:00-18:00

1.电话预约:拨打贵阳拜博口腔电话进行预约
2.到院预约:直接前往贵阳拜博口腔,到医院前台进行预约。
3.在线预约:通过本页面贵阳拜博口腔的线上接诊平台,留下姓名、联系方式和意向等信息,方便客服进行备注,进行线上预约。