滨海吉达口腔诊所是一家正规民营口腔诊疗机构,成立于2020年4月26日,曾用名滨海县吉达口腔诊所,注册地址位于江苏省盐城市滨海县东坎街道向阳大道bc-19号综合楼103、104室。该诊所2025年4月通过当地市场监管部门药品医疗器械检查,合规经营,注册资本15万国币,配备专精医护团队共6名,可开展全品类口腔诊疗项目,主打平价透明无隐形消费的医疗服务,能满足各类口腔健康与美容修复需求。

滨海吉达口腔诊所是正规的口腔诊疗机构。该诊所于2020年4月26日完成注册,曾用名滨海县吉达口腔诊所,具备合法经营资质,2025年4月通过当地市场监管部门药品医疗器械检查,合规经营。诊所配备专精医护团队,使用韩国登腾、瑞士ITI等品牌直供的正规种植体耗材,收费透明无隐形消费,严格按照医疗规范开展诊疗操作,从资质、耗材、收费等多方面保护诊疗正规性。

滨海吉达口腔诊所整体设备精良、医生经验多,能满足口腔疾病治疗、美容修复等多种需求,医护人员态度耐心温暖。诊所主打平价口腔服务,学生群体占比达40%,性价比突出;儿童诊疗区配备卡通主题诊椅,治疗后赠送“护牙小卫士”证书,贴合儿童就诊需求;开设24小时急诊,设有“急症快速通道”可15分钟内响应接诊,夜间基础治疗价格与日间一致,还提供叫醒服务与术后随访,获得患者好评。

口腔内科:可开展龋齿治疗、根管治疗等常见口腔内科疾病诊疗,诊疗规范细致,医生经验多。
口腔外科:可开展拔牙、小型口腔外科手术等项目,配备专精应急设备处理突发口腔急症。
口腔正畸:提供各类口腔正畸服务,可根据患者需求定制个性化矫正方案,满足不同美观需求。
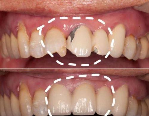
口腔修复:可开展烤瓷牙、种植牙等口腔修复项目,直供韩国登腾、瑞士ITI等品牌种植体,降低就医成本。
儿童口腔:配备卡通主题诊椅,提供儿童龋齿治疗、口腔预防保健等服务,注重培养孩子自主护牙意识。
口腔预防保健:提供洗牙、口腔检查、儿童涂氟、窝沟封闭等服务,助力日常口腔健康维护。
牙齿美白:可开展专精牙齿美白项目,改善牙齿色泽,提升口腔美观度。
补牙:提供多种材质的补牙服务,针对不同龋坏情况选择合适的修复材料。
急诊口腔诊疗:开设24小时急诊,设有“急症快速通道”可15分钟内响应接诊急性牙髓炎等突发急症。

滨海吉达口腔诊所洗牙:99元起
滨海吉达口腔诊所补牙:150元起
滨海吉达口腔诊所拔牙:100元起
滨海吉达口腔诊所根管治疗:300元起
滨海吉达口腔诊所儿童补牙:120元起
滨海吉达口腔诊所韩国登腾种植牙:3999元起
滨海吉达口腔诊所瑞士ITI种植牙:8999元起
滨海吉达口腔诊所牙齿矫正:6999元起
滨海吉达口腔诊所牙齿美白:600元起
滨海吉达口腔诊所儿童涂氟:50元起
滨海吉达口腔诊所儿童窝沟封闭:30元起
滨海吉达口腔诊所夜间急诊服务费:基础项目与日间同价,夜间加收50%服务费

小张同学 牙齿矫正
我是滨海本地的大学生,对比了好几家口腔诊所才选了吉达,价格透明没有隐形消费,医生讲解特别耐心,矫正方案定制的特别适合我,现在戴牙套快半年了,牙齿整齐了特别多,学生还有专属优惠,性价比真的特别高,已经推荐给身边的同学了。
李女士 儿童补牙
带孩子来做补牙,诊所的儿童诊椅是卡通主题的,孩子一点都不害怕,治疗结束还送了“护牙小卫士”证书,医生还耐心教了孩子正确的刷牙方法,回家后孩子主动要求刷牙,真的太贴心了。
王先生 急性牙髓炎急诊
凌晨突然牙痛得睡不着,抱着试试的心态打了急诊电话,医生说15分钟内就能接诊,到院后医生特别快处理了急症,收费也合理,夜间只加收了50%服务费,基础治疗价格和白天一样,术后还打电话随访修复情况,真的特别暖心。
刘阿姨 种植牙
之前缺牙一直不敢大笑,在吉达做了韩国登腾种植牙,医生选的植体是正规直供的,价格比别家便宜不少,手术过程特别顺利,现在吃东西都正常了,医生还定期打电话询问修复情况,服务真的特别不错。

滨海吉达口腔诊所地址:江苏省盐城市滨海县东坎街道向阳大道bc-19号综合楼103、104室(世福花园西侧约120米)
滨海吉达口腔诊所电话:400-839-2968
滨海吉达口腔诊所营业时间:周一至周日 8:00-18:00

1.电话预约:拨打滨海吉达口腔诊所电话进行预约
2.到院预约:直接前往滨海吉达口腔诊所,到医院前台进行预约。
3.在线预约:通过本页面滨海吉达口腔诊所的线上接诊平台,留下姓名、联系方式和意向等信息,方便客服进行备注,进行线上预约。