上海拜博口腔(昌仁店)隶属于拜博口腔医疗集团,该集团1993年由黎昌仁创立于深圳,2014年获得联想控股投资,是正规的口腔医疗机构。医院可开展口腔检查、牙齿美白、牙齿矫正、种植牙、儿牙治疗、牙周治疗等全科口腔诊疗服务,地址位于云南省昆明市盘龙区金江小区6号地块独商6幢1-3层商铺6-41室,地处便捷区域,可为周边群众提供专精、舒适的口腔诊疗服务。

上海拜博口腔(昌仁店)是经相关卫生主管部门批准设立的正规口腔医疗机构,持有合法执业资质。医院配备美国锐科、德国西洛德、蔡司显微镜、韩国AIC种植机等国内外高端牙科设备,严格执行「一人一室一机一消毒」的感控标准,医疗耗材多采用进口优质材料,如美国3M树脂等。医院拥有经验多的医师团队,诊疗收费透明公开,按照公示价格收取费用,支持多种结算方式,整体诊疗流程规范合规,让患者就医更放心。

上海拜博口腔(昌仁店)配备多台国内外高端牙科设备,全院医疗设备配置优质,设有独立诊室,打造了专属儿童诊疗区域,就医环境整洁舒适,交通便捷。医院拥有精尖的医师团队,可开展高难度种植、舌侧矫正等复杂口腔诊疗项目,患者诊疗满意度较高,始终坚持以患者为中 心,为患者提供安心、舒适的优质诊疗服务。

种植牙:依托精良种植设备与经验多的种植医师,可开展高难度种植病例诊疗,修复缺牙问题成效稳定自然。
牙齿矫正:可开展舌侧矫正、骨性牙齿畸形矫正等复杂正畸项目,方案设计个性化,患者满意度高。
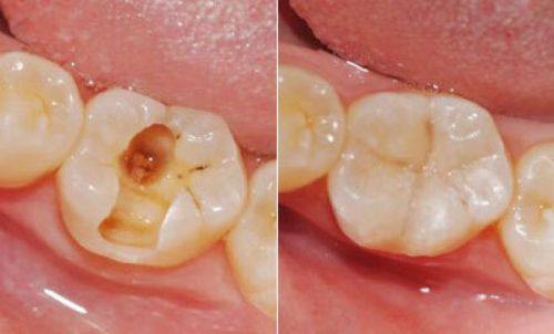
补牙:采用美国进口3M树脂等优质补牙材料,修复后牙齿硬度、质感、色泽表现优异,与真牙适配度高。
根管治疗:医师操作熟练不错,诊疗过程舒适可控,可有效解决牙髓疾病,保留天然患牙。
氧化锆全瓷牙修复:采用优质全瓷材料,美观逼真,生物相容性好,可有效修复缺损牙齿。
牙磨损修复:借助精良设备开展修复治疗,改善牙齿磨损问题,修复正常咀嚼功能。
儿牙治疗:设有专属儿童诊疗区域,医护人员耐心安抚儿童情绪,缓解儿童看牙恐惧心理。
牙周治疗:可开展各类牙周疾病的诊疗与维护,帮助患者维持口腔牙周健康。
牙齿美白:采用专精美白技术,改善牙齿色泽,提升口腔美观度。
口腔检查:提供全方面的口腔健康检查,早发现口腔问题并及时干预治疗。
拔牙:规范开展各类拔牙操作,减轻患者痛苦,保护术后顺利修复。
洗牙:采用专精洗牙设备,清除牙菌斑、牙结石,维护口腔清洁健康。

魏兵:种植专科院长,临床经验多,擅长接诊各类高难度种植病例。
舒凌:种植专科医师,精通各类种植修复诊疗技术。
谢家敏:种植专科医师,擅长复杂种植手术操作。
沈刚:正畸专科医师,可开展舌侧矫正、骨性牙齿畸形矫正等复杂正畸项目。
郭涛:正畸专科医师,擅长个性化正畸方案设计与实施。
徐子卿:正畸专科医师,正畸技术不错,患者诊疗满意度高。
肖冰:可开展根管治疗等牙科诊疗项目,操作熟练,患者反馈良好。

成人3M树脂补牙:100元起
氧化锆全瓷牙:1112元起
牙磨损修复:13712元起
超声波洗牙:120元起
简单智齿拔除:300元起
根管治疗:800元起
儿童乳牙拔除:50元起
牙齿美白:1500元起
金属托槽牙齿矫正:8000元起
隐形牙齿矫正:15000元起
韩国奥齿泰种植牙:6000元起
儿童窝沟封闭:100元起

患者李女士(根管治疗):我之前因为急性牙疼难忍来到这家医院,肖冰医生操作特别熟练,全程基本没什么痛感,诊疗环境也特别整洁舒适,护士小姐姐也一直陪着我缓解紧张情绪,术后修复得良好,现在已经认准这家医院和肖医生看牙了,真的太推荐了!
患者张先生(3M树脂补牙):这次来做3M树脂补牙,医院用的是美国进口的材料,补完之后牙齿的色泽和真牙几乎一模一样,硬度也特别不错,平时吃东西完全没问题,医生讲解也特别耐心,整个过程特别快就结束了,体验感真的特别棒。
患者王小朋友(儿牙治疗):我家孩子之前一直特别害怕看牙,这次来这家医院的儿童诊疗区域,环境布置得特别可爱,有特别多卡通装饰,医生和护士都特别有耐心,慢慢安抚了孩子的情绪,治疗过程特别顺利,孩子都没哭,真的太感谢了!
患者陈女士(牙齿矫正):我之前一直想矫正牙齿,对比了好几家医院,更终选择了这家,沈刚医生给我设计的舌侧矫正方案特别合理,现在矫正了一段时间,牙齿已经有明显变化了,医生每次复诊都特别细心,调整力度也刚好,几乎没有不适感。

上海拜博口腔(昌仁店)地址:云南省昆明市盘龙区金江小区6号地块独商6幢1-3层商铺6-41室
上海拜博口腔(昌仁店)电话:400-839-2968
上海拜博口腔(昌仁店)营业时间:周一至周日 8:00-18:00

1.电话预约:拨打上海拜博口腔(昌仁店)电话进行预约
2.到院预约:直接前往上海拜博口腔(昌仁店),到医院前台进行预约。
3.在线预约:通过本页面上海拜博口腔(昌仁店)的线上接诊平台,留下姓名、联系方式和意向等信息,方便客服进行备注,进行线上预约。