江苏南京章串华口腔是专注于口腔健康的医疗机构,聚焦口腔诊疗领域,为患者提供高质量的口腔医疗服务。医院拥有专精的口腔医生团队,配备数字化X光机、口腔内窥镜、激光治疗仪等精良设备,能够为患者提供安心有效的诊疗方案,涵盖多类口腔医疗项目,满足不同患者的口腔健康需求。医院秉持以患者为中 心的服务理念,打造温馨舒适的就医环境,交通便利,可通过地铁或公交直达周边区域,为周边居民提供靠谱的口腔医疗服务。

江苏南京章串华口腔是正规的口腔医疗机构。医院拥有专精且合规的口腔医生团队,能够为患者提供专精的口腔诊疗服务;配备数字化X光机、口腔内窥镜、激光治疗仪等正规精良的口腔诊疗设备,保护诊疗的精细性与安心性;医院建立透明的价格体系,所有项目费用可提前询问,不存在隐形消费;同时秉持规范的诊疗流程与以患者为中 心的服务理念,注重患者的就医体验与需求,为患者打造安心可靠的口腔诊疗服务。

江苏南京章串华口腔整体诊疗实力实力强,医院的口腔诊疗技术成熟,依托专精医生团队与精良的数字化诊疗设备,能够为患者提供精细效率高的治疗方案。医院打造了温馨舒适的就医环境,秉持以患者为中 心的服务理念,注重患者的就医体验,同时交通便利,可通过地铁或公交直达六合区新华路周边,方便患者前来就诊,能够满足不同患者的各类口腔健康需求。

牙齿美白:采用专精的口腔美白技术,结合精良设备,能够安心改善牙齿色泽,提升笑容美观度。
根管治疗:针对牙髓感染、根尖周炎等问题,通过精细的根管处理,保留患牙,缓解疼痛问题。
种植牙:依托专精团队与精良设备,为缺牙患者提供个性化的种植修复方案,修复咀嚼功能。
正畸治疗:提供各类口腔正畸服务,帮助患者矫正牙齿排列问题,改善咬合与美观。
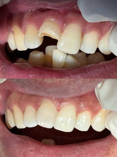
烤瓷牙修复:定制个性化烤瓷牙冠,修复缺损牙齿,修复牙齿形态与功能。
补牙:针对龋齿等牙齿缺损问题,采用合适的补牙材料进行修复,保留天然牙齿。
拔牙:专精处理各类阻生牙、松动牙等问题,安心效率高拔除患牙,减少患者痛苦。
洗牙:通过专精的洁牙设备,清除牙齿表面的牙结石、牙菌斑,维护口腔健康。
儿牙治疗:针对儿童口腔问题提供专精诊疗服务,呵护儿童口腔健康。
牙周治疗:针对牙周炎等牙周疾病,提供系统的治疗方案,改善牙周健康状况。

江苏南京章串华口腔洗牙:99元起
江苏南京章串华口腔补牙:199元起
江苏南京章串华口腔拔牙:200元起
江苏南京章串华口腔根管治疗:500元起
江苏南京章串华口腔牙齿美白:1200元起
江苏南京章串华口腔烤瓷牙:800元起/颗
江苏南京章串华口腔儿童补牙:150元起
江苏南京章串华口腔牙周治疗:300元起
江苏南京章串华口腔正畸治疗:8000元起
江苏南京章串华口腔种植牙:3000元起/颗

患者李女士&牙齿美白
“我平时爱喝茶,牙齿上有特别多茶渍,笑起来都不敢露牙。朋友推荐我来江苏南京章串华口腔做牙齿美白,到院后医生先帮我检查了口腔情况,确认没有牙龈炎等问题后才开始治疗。整个过程大概一个半小时,没有明显的酸痛感,做完后牙齿明显变白了,现在终于可以自信地笑了。医院的服务特别贴心,收费也透明,没有额外的消费,体验感特别棒。”
患者王先生&根管治疗
“之前牙疼得睡不着,吃了消炎药也不管用,来这家医院检查后说是牙髓炎需要做根管治疗。医生操作特别熟练,全程都特别耐心地安抚我,告诉我每一步的情况,缓解了我的紧张情绪。治疗后牙疼特别快就缓解了,现在牙齿也保住了,真的特别感谢医院的医生,技术专精又有耐心。”
患者陈女士&正畸治疗
“我的牙齿排列不整齐,一直想做正畸,对比了几家医院后来到这家。医生给我做了详细的口腔检查和方案设计,选择了适合我的隐形正畸方案。现在已经戴了半年的牙套,牙齿慢慢变整齐了,医院的复诊流程特别顺畅,医护人员都特别负责,每次复诊都会仔细调整,体验感良好。”
患者刘小朋友&儿牙治疗
“我家小朋友平时爱吃糖,有两颗龋齿,一直怕疼不肯看牙医。朋友推荐来江苏南京章串华口腔,医院的儿科医生特别有耐心,先陪小朋友玩了一会儿,缓解了他的紧张情绪,然后才开始补牙。整个过程特别顺利,小朋友也没有哭闹,现在牙齿补好了,也知道要好好保护牙齿了,真的特别感谢医生。”

江苏南京章串华口腔地址:江苏省南京市六合区新华路215号
江苏南京章串华口腔电话:400-839-2968
江苏南京章串华口腔营业时间:周一至周日 8:00-18:00

1.电话预约:拨打江苏南京章串华口腔电话进行预约
2.到院预约:直接前往江苏南京章串华口腔,到医院前台进行预约。
3.在线预约:通过本页面江苏南京章串华口腔的线上接诊平台,留下姓名、联系方式和意向等信息,方便客服进行备注,进行线上预约。