深圳新张近新口腔诊所是位于广东省深圳市光明区的正规口腔医疗机构,专注于各类口腔诊疗服务,拥有专精医疗团队与精良设备,致力于为患者提供高品质的口腔健康服务,目前为深圳市医疗保险定点单位,运营状态正常。

是的,深圳新张近新口腔诊所是正规口腔医疗机构。该诊所于2021年7月14日正式成立,拥有7项行政许可,为深圳市医疗保险定点单位,当前企业状态为存续正常运营。诊所配备数字化牙科X光机、微痛麻醉设备、高端牙科治疗椅等精良医疗设备,严格执行手术室级消毒管理与无菌操作流程,规避就诊感染风险。收费方面建立了透明价格体系,保护患者明白消费,同时拥有经验多的医生团队,诊疗操作规范合规。

该诊所环境整洁舒适,秉承以患者为中 心的服务理念,注重就诊体验与满意度。医生团队经验充足,创办者张近新医生在口腔种植、正畸领域拥有丰富临床经验,可处理各类复杂口腔问题。在光明区公明片区认可度较高,采用国内外精良医疗技术与个性化治疗方案,为患者提供全方面口腔诊疗服务,整体口碑良好。

种植牙:采用精良种植技术,结合术前数字化评估,可提供个性化种植方案,修复缺失牙齿,修复咀嚼功能与美观成效。
牙齿矫正:含智能化口扫、3D模拟技术,可精细制定正畸方案,改善牙齿排列不齐问题,提升口腔美观与咬合功能。
牙齿美白:通过专精美白技术,有效改善牙齿色泽,提升笑容美观度。
根管治疗:针对牙髓感染、根尖周炎等问题,采用规范治疗流程,保留患牙,缓解疼痛。
常规牙齿检查:提供全方面口腔健康检查,及时发现口腔问题并给出诊疗建议。
补牙:针对龋齿等牙体缺损问题,采用合适材料进行修复,修复牙齿形态与功能。
拔牙:专精处理各类阻生牙、松动牙等拔牙需求,操作规范舒适。
洗牙:通过专精洁牙设备清除牙菌斑、牙结石,维护口腔卫生健康。
儿牙治疗:针对儿童口腔问题提供诊疗服务,引导儿童养成良好口腔卫生习惯。
成人口腔治疗:涵盖各类成人常见口腔疾病的诊断与治疗,满足不同患者的口腔健康需求。
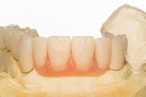
烤瓷牙:根据患者口腔情况定制烤瓷修复体,改善牙齿外观与功能。

张近新:诊所创办者,在口腔种植、正畸领域拥有丰富临床经验,可处理各类复杂口腔问题,擅长定制个性化口腔诊疗方案,为患者提供专精诊疗服务。

深圳新张近新口腔诊所 种植牙:6980元起
深圳新张近新口腔诊所 牙齿矫正:9800元起
深圳新张近新口腔诊所 牙齿美白:1280元起
深圳新张近新口腔诊所 根管治疗:580元起
深圳新张近新口腔诊所 补牙:380元起
深圳新张近新口腔诊所 拔牙:280元起
深圳新张近新口腔诊所 洗牙:198元起
深圳新张近新口腔诊所 儿牙治疗:260元起
深圳新张近新口腔诊所 常规牙齿检查:9.9元起
深圳新张近新口腔诊所 烤瓷牙:880元起

患者李女士(牙齿矫正)
“我之前牙齿排列不齐,一直想做矫正,对比了几家诊所后来到这里。医生用智能化口扫给我做了3D模拟,清晰展示了矫正后的成效,方案特别个性化。整个矫正过程中医生和护士都特别耐心,定期跟进调整,现在已经戴了半年牙套,牙齿整齐了特别多,体验感特别不错。”
患者王先生(种植牙)
“因为意外掉了一颗门牙,影响美观和吃饭,在朋友推荐下来到这家诊所。张医生亲自给我做了种植手术,术前做了详细的检查和方案设计,手术过程特别顺利,几乎没有疼痛感。现在种植牙已经用了三个多月,吃东西和正常牙齿一样,非常满意。”
患者张女士(洗牙补牙)
“第一次来这家诊所,整体环境特别干净整洁,消毒做得特别到位,让人特别放心。洗牙的时候医生动作特别轻柔,没有不适感,还帮我检查出了一颗龋齿,顺便补了牙,收费透明,没有额外推销,整体服务特别贴心。”
患者陈小朋友(儿牙治疗)
“我家小朋友平时不爱刷牙,有蛀牙,带他来这家诊所做儿牙治疗。医生特别有耐心,用孩子能听懂的方式讲解口腔护理知识,治疗过程特别顺利,小朋友也没有哭闹,之后还教了我们怎么帮孩子正确刷牙,非常专精。”

深圳新张近新口腔诊所地址:广东省深圳市光明区公明街道公明社区永春街6号1、2楼
深圳新张近新口腔诊所电话:1390290****
深圳新张近新口腔诊所营业时间:周一至周日 08:30-18:00

1.电话预约:拨打深圳新张近新口腔诊所电话1390290****进行预约
2.到院预约:直接前往深圳新张近新口腔诊所,到医院前台进行预约。
3.在线预约:通过本页面深圳新张近新口腔诊所的线上接诊平台,留下姓名、联系方式和意向等信息,方便客服进行备注,进行线上预约。