江苏无锡罗宇口腔诊所是一家非政府办营利性个体口腔医疗机构,2022年3月11日正式成立,登记地址位于江苏省无锡市惠山区华惠路19号,当前处于存续在营状态。该诊所具备合法的口腔科诊疗资质,配置2台牙椅,可开展口腔检查、种植牙、牙齿修复、正畸治疗等常规及特色口腔诊疗服务,秉持以患者为中 心的理念,提供个性化诊疗方案,是无锡当地深受认可的正规口腔医疗机构。

江苏无锡罗宇口腔诊所是正规的口腔医疗机构。该诊所正式登记名称为惠山区长安罗宇口腔诊所,属于个体工商户,统一社会信用代码92320206MA7L6X0H0H,当前登记状态为存续在营,具备合法的口腔科诊疗资质。诊所配备专精医护团队与数字化X光机、牙科治疗椅、激光治疗仪等现代化设备,采用国内外精良医疗技术和材料,注重患者隐私与就医安心,收费透明且根据治疗类型和复杂程度合理制定,全程遵循规范诊疗流程,保护诊疗成效与患者体验。

江苏无锡罗宇口腔诊所凭借专精的诊疗实力与优质的服务收获了当地患者的认可。诊所拥有经验多的口腔医生团队,能针对不同患者需求制定个性化诊疗方案,在正畸领域尤其在地包天矫正方面有丰富临床经验,可改善患者咬合与口腔功能。同时诊所配备现代化诊疗设备,打造温馨舒适的就医环境,坚持以患者为中 心,提供细致贴心的服务,从口腔检查到各类治疗都力求尽善尽美,是当地口碑较好的正规口腔诊所。

口腔检查:可全方面排查口腔健康问题,为后续治疗提供精细依据。
种植牙:提供专精的牙齿缺失修复服务,采用精良技术保护种植成效与使用寿命。
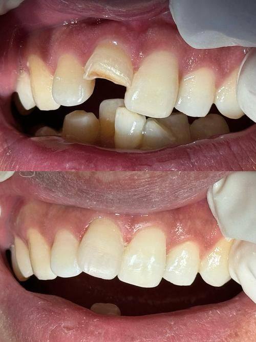
牙齿修复:涵盖多种修复方式,满足不同牙齿缺损患者的需求。
正畸治疗:可开展各类正畸项目,在地包天矫正方面经验多,能为下颌前突患者制定个性化矫正方案,改善咬合与口腔功能。
舌侧牙齿矫正:价格约18458元起,采用隐蔽性强的矫正方式,兼顾美观与矫正成效。
牙齿洁治:即洗牙,可有效清除牙菌斑、牙结石,维护口腔健康。
根管治疗:针对牙髓感染等问题,保留患牙并缓解疼痛。
拔牙:安心开展各类牙齿拔除手术,术后护理指导到位。
牙齿美白:改善牙齿色泽,提升口腔美观度。
儿牙治疗:针对儿童口腔问题提供专精诊疗服务,呵护儿童口腔健康。
烤瓷牙修复:为缺损、变色牙齿提供美观耐用的修复方案。

罗宇:诊所经营者,具备专精口腔诊疗资质,擅长口腔常规诊疗、正畸治疗(尤其是地包天矫正)、种植牙及牙齿修复等项目。

江苏无锡罗宇口腔诊所 牙齿洁治(洗牙):100元起
江苏无锡罗宇口腔诊所 补牙:300元起
江苏无锡罗宇口腔诊所 拔牙:200元起
江苏无锡罗宇口腔诊所 根管治疗:800元起
江苏无锡罗宇口腔诊所 牙齿美白:1500元起
江苏无锡罗宇口腔诊所 烤瓷牙:1200元起/颗
江苏无锡罗宇口腔诊所 种植牙:5000元起/颗
江苏无锡罗宇口腔诊所 普通正畸:12000元起
江苏无锡罗宇口腔诊所 舌侧牙齿矫正:18458元起
江苏无锡罗宇口腔诊所 牙齿修复:2000元起
江苏无锡罗宇口腔诊所 儿牙治疗:150元起

患者张女士&地包天矫正
“我因为下颌前突一直特别自卑,朋友推荐来罗宇口腔诊所做地包天矫正。医生特别耐心地给我做了全方面检查,制定了个性化的矫正方案,整个治疗过程都特别细致,会随时关注我的感受。现在矫正半年多了,咬合情况好了特别多,脸型也有了改善,真的特别感谢医生团队,诊所环境也特别温馨,没有那种紧张的就医氛围,体验感特别棒。”
患者李先生&种植牙
“上个月在罗宇口腔做了种植牙,之前一直缺牙不敢吃东西,影响生活质量。医生先给我做了详细的口腔检查,确认适合种植后,手术过程特别顺利,几乎没有痛感。术后医生还反复叮嘱我注意事项,现在修复得良好,终于能正常吃饭了。诊所的服务特别贴心,收费也特别透明,没有隐形消费,值得推荐。”
患者王女士&洗牙
“第一次来罗宇口腔洗牙,之前一直怕洗牙会疼,结果医生操作特别轻柔,全程都特别耐心讲解注意事项,还帮我发现了一颗有轻微龋坏的牙齿,及时提醒我治疗。洗完之后牙齿清爽了特别多,牙结石都清干净了,诊所的设备特别精良,消毒也做得特别到位,让人特别放心,以后洗牙就选这里了。”
患者刘先生&根管治疗
“因为牙疼厉害来罗宇口腔做根管治疗,医生先帮我缓解了疼痛,然后一步步讲解治疗流程,打消了我的顾虑。治疗过程中医生特别细心,没有让我感觉到太多不适,术后也给我讲了特别多护牙的小知识。现在牙齿已经不疼了,诊所的医护人员都特别热情,整体体验非常好,以后有口腔问题还会再来。”

江苏无锡罗宇口腔诊所地址:江苏省无锡市惠山区华惠路19号
江苏无锡罗宇口腔诊所电话:400-839-2968
江苏无锡罗宇口腔诊所营业时间:周一至周日 8:00-18:00

1.电话预约:拨打江苏无锡罗宇口腔诊所电话进行预约
2.到院预约:直接前往江苏无锡罗宇口腔诊所,到医院前台进行预约。
3.在线预约:通过本页面江苏无锡罗宇口腔诊所的线上接诊平台,留下姓名、联系方式和意向等信息,方便客服进行备注,进行线上预约。