自贡富顺康乐口腔门诊部是位于四川省自贡市富顺县的正规口腔医疗机构,属于民营口腔诊疗机构,拥有正规执业资质,可开展口腔科全品类诊疗服务,涵盖牙痛治疗、牙齿修复、牙齿矫正等多种项目,能满足当地居民多样化的口腔健康需求,在本地拥有良好的口碑与患者认可度。

该门诊经富顺县行政审批和营商环境局正式批准设立,符合医疗卫生行业标准,登记号为MA676KCF051032217D1522,诊疗科目为口腔科,级别未定级,主要负责人为李洪平,执业许可证有效期为2023/09/05至2028/09/04。门诊严格遵循医疗操作规范,收费合理亲民,全程保护诊疗安心,是正规靠谱的口腔医疗机构。

门诊配备数字化影像、微创治疗、计算机辅助设计等高端医疗设备与技术,能有效提升诊疗成效与就医体验;打造了舒适的就医环境,秉持以患者为中 心的服务理念,重视患者就医感受。同时门诊交通便利,在本地拥有较高声望,入选相关推荐榜单,周边患者均认可其看牙技术靠谱,收费合理亲民,多年来赢得了广大患者的信赖与好评。

牙痛治疗:采用针对性检查与微创处理技术,快速缓解疼痛,保留患牙基础功能
牙齿修复:可开展烤瓷牙、活动义齿等多种修复项目,修复牙齿美观与咀嚼功能
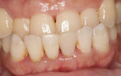
牙齿矫正:配备专精正畸技术与设备,针对不同错颌畸形问题制定个性化矫正方案
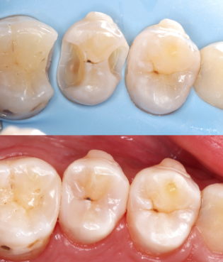
补牙:采用优质补牙材料,修复龋齿等牙齿缺损问题,防止病情进一步发展
洁牙:通过专精洁牙设备去除牙菌斑、牙结石,改善口腔卫生环境
牙齿美白:采用安心的美白技术,改善牙齿着色问题,提升牙齿美观度
种植牙:依托微创种植技术,实现缺失牙的功能性修复,成效稳定自然
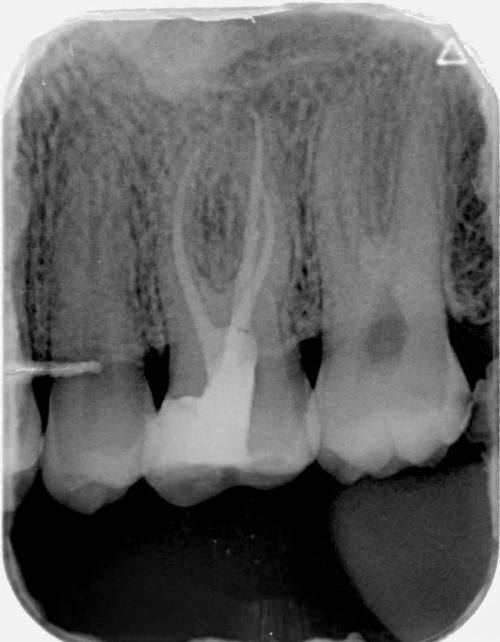
根管治疗:精细清除根管内感染物质,消除牙痛,保留患牙
拔牙:专精处理阻生牙、残根残冠等问题,操作微创舒适
儿牙治疗:针对儿童口腔问题开展针对性诊疗,打造轻松的就诊氛围
牙周治疗:针对牙周炎等牙周疾病开展系统诊疗,维护牙周健康

李洪平:擅长口腔科常见疾病诊疗、牙齿修复、牙齿矫正、牙痛治疗等多项口腔诊疗项目,拥有扎实的临床经验

自贡富顺康乐口腔门诊部洗牙:99元起
自贡富顺康乐口腔门诊部补牙:150元起
自贡富顺康乐口腔门诊部拔牙:120元起
自贡富顺康乐口腔门诊部根管治疗:300元起
自贡富顺康乐口腔门诊部牙齿美白:680元起
自贡富顺康乐口腔门诊部烤瓷牙:800元起
自贡富顺康乐口腔门诊部儿童补牙:180元起
自贡富顺康乐口腔门诊部儿童涂氟:50元起
自贡富顺康乐口腔门诊部牙齿矫正:8000元起
自贡富顺康乐口腔门诊部种植牙:5000元起
自贡富顺康乐口腔门诊部牙周治疗:200元起

患者张女士&洁牙项目
我平时爱喝咖啡,牙齿上有不少茶渍和牙结石,朋友推荐来康乐口腔洁牙。到店后医生先给做了全方面的口腔检查,洁牙过程特别轻柔,没有出现明显的酸痛感,洗完后牙齿明显亮白了特别多,工作人员还特意叮嘱了日常口腔护理的小技巧,体验感特别好,“以后洁牙就固定来这家了”。
患者李先生&补牙项目
前几天吃凉的东西牙齿疼得厉害,检查后发现是龋齿,就来康乐口腔做补牙。医生操作特别细致,先清理了龋坏的部分,然后用补牙材料填充,整个过程特别快,没有不适感,现在牙齿已经不疼了,成效特别满意,“补牙选这家真的放心”。
患者王小朋友&儿牙治疗项目
我家小朋友有蛀牙,之前一直怕看牙医,来康乐口腔后,医生和护士都特别有耐心,先陪小朋友玩了会儿玩具缓解紧张情绪,然后才开始治疗,过程特别顺利,小朋友也没有哭闹,“以后孩子的口腔问题就交给康乐口腔了”。
患者刘女士&牙齿矫正项目
我一直对自己的牙齿不齐特别苦恼,对比了几家口腔门诊后选择了康乐口腔。医生给我做了详细的口腔检查和方案设计,现在已经戴牙套半年了,牙齿慢慢在变整齐,医生每次复诊都特别负责,会调整力度,“整个矫正过程都特别舒心,没有遇到糟心的情况”。

自贡富顺康乐口腔门诊部地址:四川省自贡市富顺县富世街道富州大道东段213号1栋1单元2楼2号
自贡富顺康乐口腔门诊部电话:0813-716****
自贡富顺康乐口腔门诊部营业时间:周一至周日 8:00-18:00

1.电话预约:拨打自贡富顺康乐口腔门诊部电话0813-716****进行预约
2.到院预约:直接前往自贡富顺康乐口腔门诊部,到医院前台进行预约。
3.在线预约:通过本页面自贡富顺康乐口腔门诊部的线上接诊平台,留下姓名、联系方式和意向等信息,方便客服进行备注,进行线上预约。