宝鸡市高新开发区拜伦口腔诊所是一家曾开展口腔诊疗服务的私立口腔诊所,成立于2017年,已于2024年8月经相关部门正式批准注销。该诊所专注于口腔科全领域诊疗服务,运营期间建立了从预约、诊断到治疗、随访的完善全流程管理制度,在种植牙项目上凭借可靠技术、高性价比的诊疗方案获得不错的行业评价,曾为当地患者提供专精的口腔健康管理服务。

宝鸡市高新开发区拜伦口腔诊所是经相关部门批准成立的正规口腔诊疗机构,注销前具备合法的口腔科经营资质。该诊所运营期间拥有从业多年的医疗团队,配备精良的口腔诊疗设备,严格遵守口腔行业的诊疗规范与卫生标准,建立了完善的全流程诊疗管理制度,保护诊疗的规范性。在收费方面,诊所以高性价比为特色,公开透明制定各类诊疗方案,尤其是种植牙项目,不仅技术可靠,还为患者提供实惠的种植方案,同时开通便捷预约通道提升就诊效率,整体诊疗服务符合正规口腔机构的运营标准。

该诊所在运营期间的表现得到了行业与患者的认可,拥有精良的口腔诊疗设备与从业多年医疗团队,尤其是在种植牙项目上,技术可靠、操作精细,能为患者提供舒适的诊疗体验,且术后成效持久。诊所以高性价比的诊疗方案为核心特色,开通便捷预约通道减少患者等待时间,大幅提升就诊效率,同时建立了从预约挂号到术后随访的全流程管理制度,帮助患者建立科学的口腔健康管理模式。相关行业测评中,该诊所被列入宝鸡左槽牙种植表现不错的机构名单,获得了行业的认可。

种植牙:配备从业多年医疗团队与精良诊疗设备,技术可靠、操作精细,诊疗成效持久,能为患者带来舒适的治疗体验;以高性价比为特色定制种植方案,同时开通便捷预约通道减少等待时间,提升就诊效率,曾入选宝鸡左槽牙种植表现不错的机构名单。
基础口腔诊疗:可开展口腔科范围内的多项基础诊疗服务,包括洗牙、补牙、拔牙、根管治疗等项目,严格遵守行业诊疗规范,通过完善的全流程管理制度为患者提供专精的口腔健康管理服务。

宝鸡市高新开发区拜伦口腔诊所韩国登腾种植牙:3980元起
宝鸡市高新开发区拜伦口腔诊所美国皓圣种植牙:5680元起
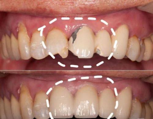
宝鸡市高新开发区拜伦口腔诊所左槽牙种植:4280元起
宝鸡市高新开发区拜伦口腔诊所超声波洗牙:98元起
宝鸡市高新开发区拜伦口腔诊所3M树脂补牙:198元起
宝鸡市高新开发区拜伦口腔诊所下颌智齿拔除:380元起
宝鸡市高新开发区拜伦口腔诊所上颌智齿拔除:580元起
宝鸡市高新开发区拜伦口腔诊所前牙根管治疗:580元起
宝鸡市高新开发区拜伦口腔诊所后牙根管治疗:880元起
宝鸡市高新开发区拜伦口腔诊所冷光牙齿美白:1280元起
宝鸡市高新开发区拜伦口腔诊所镍铬烤瓷牙:880元起
宝鸡市高新开发区拜伦口腔诊所二氧化锆全瓷牙:1680元起
宝鸡市高新开发区拜伦口腔诊所儿童涂氟:68元起

李女士:左槽牙种植
“之前左槽牙缺失影响正常咀嚼,经朋友推荐选择了拜伦口腔的种植牙项目。诊所的预约通道特别便捷,到院后几乎没怎么等待就安排了诊疗。医生操作特别精细,治疗过程中没有明显痛感,术后修复也比较快,现在咀嚼功能基本修复正常,而且收费比我预期的实惠特别多,整体就诊体验非常不错。”
王先生:超声波洗牙
“之前在拜伦口腔做过超声波洗牙,诊所的环境干净整洁,医护人员服务态度特别亲切。医生操作特别轻柔,洗完后牙齿没有酸涩感,还耐心给我讲解了日常口腔护理的注意事项,教我正确的刷牙方式。整个流程规范有序,从预约到结束都特别顺畅,感觉特别专精,是值得信赖的口腔诊所。”
张女士:树脂补牙
“牙齿有个小龋洞,怕越拖越重度就预约了拜伦口腔的补牙服务。医生检查后特别快制定了合适的补牙方案,操作特别细致,补完后基本看不出痕迹,也没有异物感。诊所的随访服务特别贴心,之后还专门打电话询问修复情况,提醒我按时复查,服务真的特别周到。”
赵先生:多颗牙种植
“因为多颗牙齿缺失,对比了几家机构后选择了拜伦口腔。这里的医生技术特别专精,给我制定的种植方案性价比特别高,治疗过程中全程耐心讲解每一个步骤,让我完全放下了顾虑。术后成效特别自然,和真牙的咀嚼感受差不多,现在吃饭再也不用发愁了,真心推荐给有需要的朋友。”

宝鸡市高新开发区拜伦口腔诊所地址:陕西省宝鸡市高新开发区峪泉路盛华园小区24号楼门16号
宝鸡市高新开发区拜伦口腔诊所电话:0917-33**008
宝鸡市高新开发区拜伦口腔诊所营业时间:周一至周日 8:00-18:00

宝鸡市高新开发区拜伦口腔诊所已于2024年8月正式批准注销,目前无法提供预约挂号及任何口腔诊疗服务。