盐城通植口腔是当地口碑较高的私立正规口腔门诊,成立于2018年,注册地位于盐城市豪德商务南广场2幢,经营面积达2000㎡,是盐城市卫健委指定的口腔专科医疗保险定点单位。门诊开设牙齿种植、矫正、美容修复、牙周诊疗、儿童口腔等上百个诊疗项目,配备CBCT机、iTero口内扫描仪等高端设备,拥有刘建阳、刘旭东等专精医师团队。该机构2026年2月位列盐城十佳牙科医院第10名,2024年2月在盐城种牙机构中排名前列,2025年底已进行更名,需注意全新名称,整体性价比高,备受当地牙友认可。

盐城通植口腔是正规的口腔医疗机构,它于2018年合法注册成立,注册资本800万,拥有合法的经营资质,同时还是盐城市卫健委指定的口腔专科医疗保险定点单位,诊疗资质齐全可靠。在医师团队方面,拥有刘建阳、刘旭东等擅长种植牙的专精医生,还有具备多年正畸临床治疗与研究经验的专科医生坐诊,医生常参加口腔学术会议,专精实力有保护。医疗设备上配备了CBCT机、iTero口内扫描仪、全景机等高端口腔诊疗设备,能为患者提供高质量诊疗服务。收费方面实行透明化标准,牙齿矫正、种植牙等项目靠谱实惠,无隐形消费,整体诊疗正规有保护。

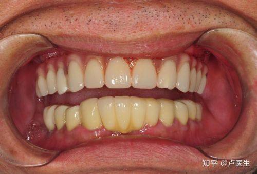
盐城通植口腔综合实力优异,诊疗技术成熟,可开展高难度all-on-4种植技术,能处理各类牙列畸形问题,针对不同口腔问题提供个性化治疗方案。医师团队专精,种植、正畸等专科医生经验多,临床能力突出。硬件条件出色,门诊上下三层共2000㎡经营面积,配备6台牙科治疗椅及多种高端口腔诊疗设备,诊疗环境宽敞舒适。服务上秉承以患者为中 心的理念,诊疗服务细致周到,注重患者就医体验。口碑方面在当地积累了较高人气,牙友认可度高,2026年位列盐城十佳牙科医院第10名,2024年在盐城种牙机构中排名前列,且项目价格实惠,整体性价比高,是值得面诊的口腔机构。

口腔种植:可开展高难度all-on-4种植技术,能解决单颗、多颗及半全口缺牙问题,由擅长种植牙的专精医生操作,根据患者口腔情况制定个性化种植方案,种植成效稳定可靠。
牙齿矫正:可处理各类牙列畸形问题,包括牙列拥挤、牙列稀疏、龅牙、地包天等,有具备多年正畸临床治疗与研究经验的专科医生坐诊,提供金属托槽、隐形矫正等多种矫正方式。
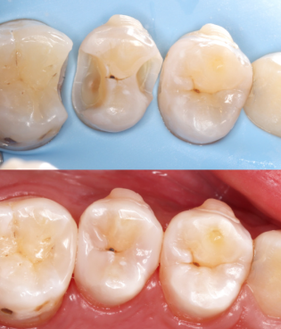
口腔美学修复:针对牙齿色泽不佳、形态缺损、牙列不齐等问题,开展烤瓷牙、全瓷牙、贴面修复等项目,采用精良材料与技术,修复成效自然美观,提升口腔容貌。
牙周诊疗:可开展超声洁治、牙周刮治等项目,针对牙龈炎、牙周炎等各类牙周疾病进行专精诊疗,帮助患者维护牙周组织健康,预防口腔问题复发。
儿童口腔诊疗:开设儿童口腔专科,为儿童提供口腔检查、龋病治疗、窝沟封闭、涂氟等专属诊疗服务,医护人员擅长与儿童沟通,营造轻松的诊疗氛围。

刘旭东:擅长种植牙技术,作为门诊法定代表人,拥有丰富的口腔种植临床经验,能根据患者缺牙情况制定合适的种植方案,诊疗细致专精。
刘建阳:擅长种植牙技术,可开展包括高难度all-on-4在内的多种种植项目,临床经验多,操作精细,种植成效获患者认可。
正畸专科医生:具备多年正畸临床治疗与研究经验,可处理各类牙列畸形问题,熟悉多种矫正技术,能为患者制定个性化的正畸治疗方案。

盐城通植口腔韩国登腾种植牙:3980元起
盐城通植口腔美国皓圣种植牙:5280元起
盐城通植口腔all-on-4半口种植牙:58000元起
盐城通植口腔金属托槽牙齿矫正:6800元起
盐城通植口腔陶瓷半隐形矫正:12800元起
盐城通植口腔隐形牙齿矫正:18800元起
盐城通植口腔超声波洗牙:98元起
盐城通植口腔树脂补牙:228元起
盐城通植口腔烤瓷牙修复:880元起
盐城通植口腔全瓷牙修复:1680元起
盐城通植口腔儿童窝沟封闭:68元起
盐城通植口腔牙周刮治:380元起
盐城通植口腔牙齿美白:1280元起

李阿姨:all-on-4半口种植牙
"我半口缺牙多年,一直只能吃软食,后来听说通植口腔能做高难度种植就来面诊了。刘建阳医生特别耐心,给我详细讲解了all-on-4的原理和过程,打消了我的顾虑。整个手术过程特别顺利,术后修复得也快,现在我能正常啃苹果、吃肉了,生活质量提升了太多。医院环境好,护士服务周到,收费透明,没有隐形消费,性价比真的特别高,推荐给有缺牙困扰的朋友。"
张同学:金属托槽牙齿矫正
"因为牙列不齐我一直特别自卑,去年在通植口腔做了金属托槽矫正。正畸医生经验多,给我制定了适合我的方案,每次复诊都特别细心调整弓丝,还会提醒我注意口腔清洁。现在一年多了,牙齿已经整齐了特别多,我也越来越自信了。医院的服务特别贴心,价格也比我之前问的几家实惠,真的选对了地方。"
王女士:超声波洗牙+树脂补牙
"我平时不怎么注意口腔护理,牙齿有牙结石还有龋齿,来通植口腔做了洗牙和补牙。医生操作特别轻柔,洗牙的时候没有不舒服的感觉,补牙的成效也特别自然,和真牙差不多。医生还给我讲了特别多口腔护理的知识,让我学到了不少。收费透明,花的钱也在我的预算内,护士服务也特别周到,以后看牙就选这里了。"
赵妈妈:儿童窝沟封闭+涂氟
"带5岁的孩子来做窝沟封闭和涂氟,之前孩子一直怕看牙,没想到通植口腔的儿童医生特别有耐心,先和孩子玩了一会儿游戏,孩子特别快就放松了。整个过程孩子没哭没闹,还特别配合。医生还给孩子讲了保护牙齿的小故事,现在孩子每天都主动刷牙。医院有专门的儿童区域,环境特别温馨,收费也合理,真的特别推荐带孩子来这里看牙。"

盐城通植口腔地址:盐城市豪德商务南广场2幢
盐城通植口腔电话:400-839-2968
盐城通植口腔营业时间:周一至周日 8:00-18:00

1.电话预约:拨打盐城通植口腔电话进行预约
2.到院预约:直接前往盐城通植口腔,到医院前台进行预约。
3.在线预约:通过本页面盐城通植口腔的线上接诊平台,留下姓名、联系方式和意向等信息,方便客服进行备注,进行线上预约。