西安半岛口腔医院是成立于2021年的正规口腔医疗机构,位于陕西省西安市莲湖区开远半岛广场,诊疗领域涵盖活动义齿、洗牙、拔牙、牙周治疗、口腔修复、牙齿美白、补牙等多个口腔项目。医院规模达1800平方米,环境整洁规范,诊疗区域划分明确,配备CBCT机、全景机等精良诊疗设备,秉持以患者为中 心的服务理念,提供个性化专属诊疗服务,交通便利,支持多种预约方式,致力于为当地患者提供高质量的口腔医疗服务。

西安半岛口腔医院是正规口腔医疗机构。医院拥有明确的合法注册诊疗地址,配备CBCT机、全景机、根管测量仪、激光设备等经正规渠道引进的精良口腔诊疗设备,所开展的洗牙、拔牙、牙周治疗等所有诊疗项目均符合口腔医疗行业规范;组建了实力较强的高精尖医疗团队,每位医生都有各自擅长的诊疗领域,诊疗技术专精且合规;同时医院收费合理透明,就诊流程规范,支持电话、官网等正规预约方式,能为患者提供可靠、合规的口腔医疗服务。

西安半岛口腔医院整体就诊体验优质,综合实力不俗。医院规模达1800平方米,为两层楼建筑,院内环境干净整洁,诊疗区域划分明确,设有宽敞明亮的诊疗室、舒适温馨的病房、精良的手术室,还有专门停车场,就诊环境舒适便捷;医疗团队实力强劲,坐诊医生有名度高、各有专长,在牙齿矫正、牙齿美白、口腔修复等领域表现突出;配备多种精良诊疗设备,诊疗技术专精;秉持以患者为中 心的个性化服务理念,提供专属口腔诊疗服务,在当地拥有不错的口碑,交通便利,预约方式灵活多样,能满足不同患者的口腔诊疗需求。

活动义齿:依托精良的铸造机、切割装置等专精设备,结合医生扎实的修复技术,可根据患者口腔实际情况定制适配性强的活动义齿,修复后牙齿功能修复自然,佩戴舒适。
洗牙:采用正规超声洁治器设备,能精细去除牙齿表面的牙结石、菌斑及色素沉着,操作温和无刺激,可有效改善牙周健康状态,预防牙周疾病。
拔牙:由经验多的医生操作,借助口腔内窥镜、全景机等设备精细定位患牙,拔牙过程规范效率高,能较大程度降低患者不适感,术后修复快。
牙周治疗:针对各类牙周炎症问题,采用专精诊疗技术结合超声洁治器等设备,可有效控制炎症发展,改善牙周环境,长期维护牙周组织健康。
口腔修复:涵盖多种牙齿修复方式,医生凭借专精技术功底,结合精良修复设备,对缺损、缺失牙齿进行针对性修复,同步修复牙齿的功能与美观度。
牙齿美白:采用专精牙齿美白技术及激光设备,可安心效率高地改善牙齿色泽,让牙齿洁白亮丽,美白成效自然持久,且对牙齿损伤小。
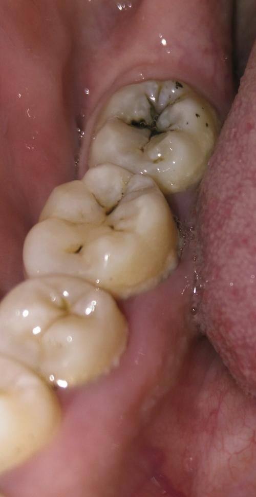
补牙:使用正规合规的补牙材料,借助根管测量仪、根管填充器等设备,对龋坏牙齿进行精细清理与填充修复,有效修复牙齿的形态与咀嚼功能。

西安半岛口腔医院超声波洗牙:98元起
西安半岛口腔医院智齿拔除(低位):298元起
西安半岛口腔医院普通树脂补牙:158元起
西安半岛口腔医院冷光牙齿美白:898元起
西安半岛口腔医院树脂活动义齿:1280元起
西安半岛口腔医院牙周基础治疗:398元起
西安半岛口腔医院前牙根管治疗:498元起
西安半岛口腔医院镍铬烤瓷牙:1180元起
西安半岛口腔医院全瓷牙修复:2280元起
西安半岛口腔医院儿童窝沟封闭:68元起/颗
西安半岛口腔医院超声波洁牙+抛光:168元起
西安半岛口腔医院后牙根管治疗:698元起

李女士:牙齿美白
"我因为长期喝咖啡牙齿发黄,一直想做美白,朋友推荐了西安半岛口腔。到院后感觉环境特别整洁舒适,医生先给我做了详细的口腔检查,然后推荐了冷光美白项目,操作过程特别温和,没有任何不适感。做完后牙齿明显变白了好几个度,成效我特别满意,而且医生还仔细叮嘱了术后的注意事项,服务特别贴心,真的是一次特别不错的看牙体验。"
王先生:智齿拔除
"我的右下智齿反复发炎,疼得饭都吃不下,就来西安半岛口腔拔牙。医生先给我拍了全景片,详细讲解了拔牙的方案和注意事项,整个操作过程特别快,几乎没怎么疼。术后医生给了我特别多护理建议,还打电话回访修复情况,特别负责。医院环境好,医生技术专精,收费也透明,真的特别值得推荐。"
张女士:补牙
"我后牙有个小龋洞,担心越烂越大就赶紧来西安半岛口腔补牙。医生特别细心,先耐心给我讲解了龋坏的情况,然后清理龋坏部分的时候手法特别轻,一点都不疼。补完后牙齿看起来和真牙差不多,咬合也特别舒服。医院的服务特别周到,从预约到就诊都特别顺畅,体验感特别好,以后看牙就选这里了。"
赵先生:牙周治疗
"我有牙周炎好几年了,经常牙龈出血,在西安半岛口腔做了牙周基础治疗。医生用专精的设备帮我清洁了牙周,还教了我正确的刷牙方法和护牙技巧,特别耐心。治疗后没几天,牙龈出血的情况就明显改善了,现在牙周状况好了特别多。医院的医生特别负责,环境也特别舒适,是个看牙的好地方。"

西安半岛口腔医院地址:陕西省西安市莲湖区大土门坊20号开远半岛广场3号楼1单元10113室
西安半岛口腔医院电话:400-839-2968
西安半岛口腔医院营业时间:周一至周日 8:00-18:00

1.电话预约:拨打西安半岛口腔医院电话进行预约
2.到院预约:直接前往西安半岛口腔医院,到医院前台进行预约。
3.在线预约:通过本页面西安半岛口腔医院的线上接诊平台,留下姓名、联系方式和意向等信息,方便客服进行备注,进行线上预约。