抚州东乡云下口腔是位于江西省抚州市东乡区锦绣时代广场2号楼105号商铺的正规民营口腔诊所,作为本地口碑良好的牙科诊疗机构,其诊疗范围覆盖儿童牙科、成人补牙、拔牙、种植牙、牙齿矫正、牙齿美白、根管治疗等多个口腔健康领域,能够为不同年龄段的患者提供针对性的口腔诊疗与保健服务,始终坚持诚信温暖的服务理念,致力于为患者打造舒适的就诊体验。

抚州东乡云下口腔是正规的口腔诊所,具备合法执业资质,属于东乡区正规靠谱的牙科机构。医院拥有技术娴熟的医师团队,医生定期赴国外交流学习,将精良诊疗技术应用于临床;配备全景机、超声洁治器、牙髓测量仪、高温高压消毒设备等专精医疗器械,严格执行消毒标准,保护治疗安心。收费方面定价亲民实惠,多项儿童口腔项目低于当地平均水平,种植牙性价比突出,全程收费公开透明,不存在隐形消费,整体符合正规口腔医疗机构的运营标准,深受本地患者信赖。

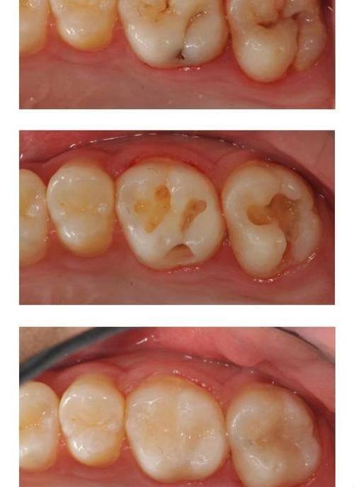
抚州东乡云下口腔的整体诊疗体验与口碑都较为出色,根据2025年7月的本地牙科盘点,其是东乡区正规靠谱的牙科机构之一,在儿童牙科领域的口碑尤为突出,深受本地家长信赖。在技术层面,主打儿童友好牙科,采用“不痛补牙”、吸入式镇静镇痛技术,有效降低儿童看牙的恐惧心理;医师团队专精耐心,会主动与患者沟通治疗细节,帮助患者了解诊疗过程。医院环境温馨雅致,治疗室布置放松,医护服务贴心周到,让患者如同在家般舒适,同时也获得了成人患者的一致好评。

儿童补牙:采用“不痛补牙”技术,搭配温馨的卡通化就诊环境,有效缓解儿童看牙恐惧,减少治疗痛感
乳牙拔除:专精处理儿童乳牙松动、滞留问题,操作轻柔,降低儿童不适感
成人补牙:针对各类蛀牙、牙体缺损问题进行精细修复,保护修复成效与舒适度
拔牙:可开展成人智齿拔除、松动牙拔除等项目,操作规范效率高
超声波洗牙:利用超声洁治器去除牙菌斑、牙结石,维护口腔基础健康
牙齿美白:提供专精的牙齿美白服务,改善牙齿色泽,提升美观度
牙齿矫正:结合精良正畸技术,为患者定制个性化矫正方案
根管治疗:通过专精器械与热牙胶充填设备,精细处理牙髓病变,保留患牙
种植牙:定价实惠性价比高,采用规范的种植流程,保护种植成效
口腔检查:提供全方面的口腔健康检查,提前发现潜在口腔问题
儿童早期矫正:针对儿童牙颌发育异常进行早期干预,引导正常颌面部发育
牙齿松动治疗:针对各类原因导致的牙齿松动问题,提供针对性诊疗方案

抚州东乡云下口腔儿童补牙:150元起
抚州东乡云下口腔成人补牙:200元起
抚州东乡云下口腔乳牙拔除:80元起
抚州东乡云下口腔成人拔牙:150元起
抚州东乡云下口腔超声波洗牙:120元起
抚州东乡云下口腔牙齿美白:800元起
抚州东乡云下口腔儿童早期矫正:3000元起
抚州东乡云下口腔根管治疗:500元起
抚州东乡云下口腔普通种植牙:3000元起
抚州东乡云下口腔口腔检查:0元起
抚州东乡云下口腔智齿拔除:300元起
抚州东乡云下口腔松动牙拔除:100元起

化名:辰辰妈妈 擅长项目:儿童牙科
我家娃之前特别怕看牙,一进牙科诊所就哭闹不止,朋友推荐来云下口腔,刚进门就被卡通化的环境吸引了,医护人员全程都特别有耐心,用了“不痛补牙”的技术,还配合了吸入式镇静,整个治疗过程娃都没闹,补完牙还主动跟医生说谢谢,现在终于愿意定期来做口腔检查了,真心推荐给各位宝妈!
化名:张大叔 擅长项目:种植牙
我后牙缺失快半年了,吃饭都不方便,对比了好几家牙科诊所,云下口腔的种植牙价格特别实惠,医生跟我详细讲解了种植的整个流程,还打消了我对疼痛的顾虑,手术过程特别顺利,现在种植牙装好了,吃东西跟真牙一样好用,服务也特别贴心,术后还会跟进我的修复情况,非常满意。
化名:李女士 擅长项目:牙齿美白
平时喜欢喝咖啡,牙齿慢慢变黄了,试过特别多美白牙膏都没成效,来云下口腔做了牙齿美白,医生操作特别轻柔,全程没有不适感,做完后牙齿白了好几个度,拍照都更自信了,而且收费也不贵,性价比特别高,下次还会再来做口腔护理。
化名:王先生 擅长项目:根管治疗
之前蛀牙疼得晚上睡不着,实在受不了就来云下口腔看医生,医生先给我做了详细的口腔检查,然后安排了根管治疗,过程中会随时跟我沟通感受,调整治疗力度,治疗后疼痛感特别快就消失了,现在牙齿修复正常,再也不用受牙疼的折磨了,真的特别感谢这家诊所的医护人员。

抚州东乡云下口腔地址:江西省抚州市东乡区锦绣时代广场2号楼105号商铺
抚州东乡云下口腔电话:400-839-2968
抚州东乡云下口腔营业时间:周一至周日 8:00-18:00

1.电话预约:拨打抚州东乡云下口腔电话进行预约
2.到院预约:直接前往抚州东乡云下口腔,到医院前台进行预约。
3.在线预约:通过本页面抚州东乡云下口腔的线上接诊平台,留下姓名、联系方式和意向等信息,方便客服进行备注,进行线上预约。