湖南长沙聪林口腔是一家营利性私人口腔门诊部,属于正规口腔诊疗机构,2020年3月成立,2022年完成执业登记公示,法定代表人为周聪林。该机构开设4张牙椅,诊疗领域覆盖全品类口腔科项目,适配全年龄段患者,可开展牙齿美容、牙周病治疗、儿童牙科、牙齿修复、种植牙、根管治疗等服务,目前正常开业,在长沙天心区拥有较高有名度,致力于为患者提供高质量的口腔诊疗服务。

湖南长沙聪林口腔是正规的口腔诊疗机构。该机构于2020年3月30日成立,2022年10月完成执业登记公示,目前处于正常开业状态,法定代表人为周聪林,属于营利性私人口腔门诊部。机构拥有专精的口腔医生团队,种植牙作为核心项目被纳入天心区种植牙门诊报价对比榜单,可提供正规种植牙诊疗服务,项目价格合理,整体诊疗流程规范,能够为患者提供安心可靠的口腔诊疗服务。

湖南长沙聪林口腔整体实力突出,口碑良好。机构配备了数字化X光机、微痛麻醉设备以及高端洁牙仪器等精良诊疗设备,能够保护诊疗过程安心效率高。医院环境整洁舒适、装修大气,秉承以患者为中 心的服务理念,注重患者体验,提供温馨舒适的就医环境。2024年2月入选长沙牙科医院排名前十榜单,2025年收获大量患者好评,医护人员热情靠谱,可提供针对性诊疗方案,帮助患者解决口腔问题。

种植牙:作为核心诊疗项目,配备专精技术与设备,可提供正规种植牙诊疗服务,纳入天心区种植牙门诊报价对比榜单。
牙齿美容:涵盖牙齿美白等项目,提供个性化美学修复方案,改善牙齿外观色泽。
牙周病治疗:针对各类牙周问题开展规范诊疗,缓解牙周不适症状。
儿童牙科:适配全年龄段患者,为儿童提供专精口腔护理与治疗,引导儿童养成良好口腔习惯。
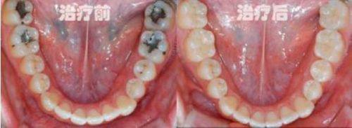
牙齿修复:包括烤瓷牙等修复项目,修复牙齿功能与美观,改善缺损牙齿状态。
正畸:提供牙齿矫正相关诊疗服务,帮助患者排齐牙齿,改善咬合关系。
根管治疗:针对牙髓病变开展精细治疗,保留患牙,缓解牙疼问题。
口腔检查:开展基础口腔健康筛查,及时发现口腔潜在问题。
拔牙:规范开展各类拔牙操作,保护诊疗安心。
补牙:针对龋坏牙齿进行填充修复,修复牙齿完整性。
洗牙:使用高端洁牙仪器,清洁口腔牙结石与菌斑,维护口腔卫生。

湖南长沙聪林口腔洗牙:99元起
湖南长沙聪林口腔补牙:199元起
湖南长沙聪林口腔拔牙:300元起
湖南长沙聪林口腔根管治疗:500元起
湖南长沙聪林口腔儿童牙科基础检查:69元起
湖南长沙聪林口腔牙齿美白:1299元起
湖南长沙聪林口腔烤瓷牙修复:800元起/颗
湖南长沙聪林口腔牙齿矫正:8999元起
湖南长沙聪林口腔种植牙:3999元起/颗
湖南长沙聪林口腔牙周病治疗:299元起
湖南长沙聪林口腔口腔全方面检查:39元起

张女士&牙齿美白
“我之前因为常年喝咖啡牙齿发黄,一直不敢开怀大笑,偶然听同事推荐了湖南长沙聪林口腔的牙齿美白项目,就抱着试试的心态预约了。到店后发现环境整洁又大气,前台小姐姐特别热情,医生操作的时候全程特别温柔,还会时不时询问我的感受,整个过程大概一小时左右,做完后照镜子发现牙齿白了好几个度,现在终于敢毫无顾忌地笑了,医护人员还特意叮嘱了术后的注意事项,真的特别靠谱!”
李先生&种植牙
“我因为意外掉了一颗门牙,一直不敢露齿说话,后来在天心区看到聪林口腔的种植牙上榜了报价榜单,就过来询问。医生给我做了详细的检查,制定了适合我的种植方案,手术过程比我预想的轻松特别多,术后修复也特别顺利,现在牙齿和真牙一样自然,终于不用再因为缺牙尴尬了,真的太感谢这家医院的医生团队了!”
王小朋友家长&儿童牙科
“我家小朋友平时不爱刷牙,有几颗蛀牙了,带他去了好几家医院都不太配合,后来朋友推荐了聪林口腔的儿童牙科。医院的儿童诊室布置得特别可爱,医护人员特别有耐心,一边陪小朋友玩一边做治疗,全程都没有哭闹,做完后还教了小朋友正确的刷牙方式,现在小朋友也愿意主动刷牙了,真的特别感谢他们!”
赵女士&根管治疗
“我之前牙疼了好几天,晚上都睡不着觉,后来在网上查到聪林口腔的口碑不错,就过来就诊。医生特别快就查出了病因,安排了根管治疗,操作的时候用了微痛麻醉设备,全程几乎没有痛感,治疗后牙疼立刻就缓解了,后续复查的时候医生也特别负责,现在牙齿已经完全修复正常了,真的太省心了!”

湖南长沙聪林口腔地址:湖南省长沙市天心区金盆岭街道天剑社区南湖路金泰小区二栋104铺
湖南长沙聪林口腔电话:400-839-2968
湖南长沙聪林口腔营业时间:周一至周日 8:00-18:00

1.电话预约:拨打湖南长沙聪林口腔电话进行预约
2.到院预约:直接前往湖南长沙聪林口腔,到医院前台进行预约。
3.在线预约:通过本页面湖南长沙聪林口腔的线上接诊平台,留下姓名、联系方式和意向等信息,方便客服进行备注,进行线上预约。