山西晋中平遥勇明齿科是一家正规私立口腔医疗机构,2000年创办,集临床诊疗、预防保健为一体,专注为患者提供高质量的口腔健康服务。医院经营面积达300平方米,配备4台牙科治疗椅,诊疗空间宽敞舒适,拥有专精的医疗团队,配备精良的专科设备,能够为患者提供个性化的口腔诊疗方案,兼顾诊疗成效与就医体验,是晋中平遥地区广受认可的正规牙科机构。

山西晋中平遥勇明齿科是正规口腔医疗机构,具备合法的行医资质。医院2000年创办,是集临床诊疗、预防保健为一体的专精口腔门诊部,拥有完善的牙科诊疗团队,成员均具备扎实的理论基础与丰富临床经验;配备高标准消毒设备与CBCT、数字化X光机、全景影像仪等精良专科设备,严格把控医疗耗材与诊疗流程的安心性。医院实行透明化收费体系,所有项目价格公开合理,无隐形消费,同时积极承担社会职责开展各类公益口腔活动,从资质、人员、设备、消毒、收费等多方面均符合正规口腔医疗机构的规范要求,是值得信赖的牙科机构。

山西晋中平遥勇明齿科在晋中平遥地区牙科排行中位列前三,凭借实力强的技术水平与良好的患者口碑广受认可。医院经营面积达300平方米,配备4台牙科治疗椅,诊疗空间宽敞舒适,环境整洁温馨。医院拥有专精的医疗团队,能够结合现代化医疗技术为患者制定个性化诊疗方案,配备精良的专科设备保护诊疗精细度。医院秉承以患者为中 心的服务理念,注重患者就诊体验,开展了“山中雏菊 筑梦同行”儿童口腔关爱、幼儿园小小牙医 科普等多项公益活动,兼顾诊疗质量与社会职责,整体口碑出色。

种植牙:依托CBCT等精良影像设备精细评估牙槽骨条件,采用标准化种植流程,保护种植成效与安心性
牙齿矫正:拥有数字化正畸室,可根据患者口腔情况定制个性化矫治方案,涵盖多种矫正方式
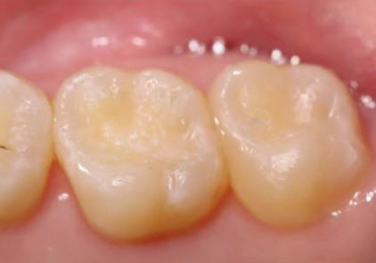
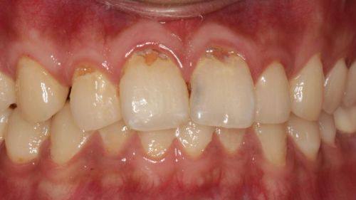
补牙:采用优质补牙材料,操作精细,尽可能保留天然牙体组织,修复牙齿形态与功能
牙齿美容:包括牙齿美白、全瓷冠修复等项目,结合患者脸型与口腔比例定制美观方案
根管治疗:借助精良设备精细定位病灶,清除感染牙髓,有效缓解牙疼并保留患牙
拔牙:由经验多的医师操作,尽可能减少患者不适感,术后提供专精护理指导
洗牙:采用专精洁牙设备,清除牙结石与牙菌斑,预防口腔疾病
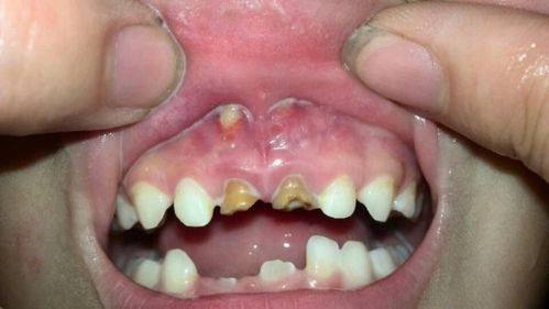
儿牙治疗:针对儿童口腔特点开展诊疗服务,辅以口腔科普教育,帮助儿童养成良好护牙习惯
牙周治疗:通过系统的牙周检查与治疗,改善牙周环境,缓解牙周炎症
烤瓷牙修复:采用高品质烤瓷材料,制作贴合自然的牙冠,修复牙齿外观与功能
活动义齿修复:根据患者口腔情况定制活动义齿,兼顾美观与实用性

山西晋中平遥勇明齿科种植牙:2800元起
山西晋中平遥勇明齿科牙齿矫正:9800元起
山西晋中平遥勇明齿科补牙:238元起
山西晋中平遥勇明齿科烤瓷牙:800元起
山西晋中平遥勇明齿科拔牙:150元起
山西晋中平遥勇明齿科洗牙:120元起
山西晋中平遥勇明齿科儿牙治疗:300元起
山西晋中平遥勇明齿科牙齿美白:1500元起
山西晋中平遥勇明齿科根管治疗:600元起
山西晋中平遥勇明齿科牙周治疗:500元起
山西晋中平遥勇明齿科全瓷冠:1800元起
山西晋中平遥勇明齿科活动义齿:2000元起

患者李女士(牙齿矫正)
“我是去年在勇明齿科做的隐形矫正,一开始还担心成效和服务,到院后医生先给我做了全方面的口腔检查,花了大概半小时仔细讲解我的牙齿问题,还根据我的脸型定制了专属方案。整个矫正过程中医生每周都会跟进我的进度,调整矫治器,护士小姐姐也特别贴心,提醒我注意事项,现在牙齿整齐多了,真的特别满意!”
患者张先生(种植牙)
“之前因为缺牙吃饭都受影响,朋友推荐来勇明齿科,医生先拍了CBCT看我的牙槽骨情况,解释了种植牙的流程,打消了我的顾虑。手术过程特别顺利,术后也耐心交代注意事项,现在种完牙已经半年多了,吃东西跟真牙一样,收费也透明,没有隐形消费,这家店真的靠谱。”
患者王小朋友(儿牙治疗)
“我家孩子平时不爱刷牙有蛀牙,之前带他去别的医院一直哭闹,这次来勇明齿科,医生和护士都特别有耐心,先给孩子看动画讲解刷牙的重要性,然后温柔的补了牙,还教了正确的刷牙方式,全程孩子都没哭,结束还给了小礼品,现在孩子主动要刷牙了,太感谢了!”
患者刘女士(洗牙补牙)
“这次来是洗牙加补两颗蛀牙,提前预约了时间到店不用等特别久,洗牙的时候医生特别仔细,会告知每一步的感受,洗完后还给我讲了日常护牙的小技巧,补的牙也特别自然,没有不适感,收费的时候看到价目表明明白白,和之前了解的一样,没有乱收费,体验感良好。”

山西晋中平遥勇明齿科地址:山西省晋中市平遥县瑜璟小区2号综合楼102-104号商铺
山西晋中平遥勇明齿科电话:400-839-2968
山西晋中平遥勇明齿科营业时间:周一至周日 08:30-19:30

1.电话预约:拨打山西晋中平遥勇明齿科电话进行预约
2.到院预约:直接前往山西晋中平遥勇明齿科,到医院前台进行预约。
3.在线预约:通过本页面山西晋中平遥勇明齿科的线上接诊平台,留下姓名、联系方式和意向等信息,方便客服进行备注,进行线上预约。